提醒成功
搜索
Rabbit Polyclonal Antibody to EphB1
-
货号:
P30021 -
别名:
Ephrin type-B receptor 1, ELK, EPH tyrosine kinase 2, EPH-like kinase 6, EK6, hEK6, Neuronally-expressed EPH-related tyrosine kinase, NET, Tyrosine-protein kinase receptor EPH-2, EPHB1, ELK, EPHT2, HEK6, NET -
应用:
WB,IHC-P -
反应种属:
Human, Mouse, Rat -
抗体类型:
Primary antibody -
Swissprot:
P54762 -
规格:
-
数量:
-+ -
说明书:
目录价¥1980
Rabbit Polyclonal Antibody to EphB1
Description |
|---|
Protein kinases are enzymes that transfer a phosphate group from a phosphate donor, generally the g phosphate of ATP, onto an acceptor amino acid in a substrate protein. By this basic mechanism, protein kinases mediate most of the signal transduction in eukaryotic cells, regulating cellular metabolism, transcription, cell cycle progression, cytoskeletal rearrangement and cell movement, apoptosis, and differentiation. With more than 500 gene products, the protein kinase family is one of the largest families of proteins in eukaryotes. The family has been classified in 8 major groups based on sequence comparison of their tyrosine (PTK) or serine/threonine (STK) kinase catalytic domains. The tyrosine kinase (TK) group is mainly involved in the regulation of cell-cell interactions such as differentiation, adhesion, motility and death. There are currently about 90 TK genes sequenced, 58 are of receptor protein TK (e.g. EGFR, EPH, FGFR, PDGFR, TRK, and VEGFR families), and 32 of cytosolic TK (e.g. ABL, FAK, JAK, and SRC families). |
Specification |
|
|---|---|
| Aliases | Ephrin type-B receptor 1, ELK, EPH tyrosine kinase 2, EPH-like kinase 6, EK6, hEK6, Neuronally-expressed EPH-related tyrosine kinase, NET, Tyrosine-protein kinase receptor EPH-2, EPHB1, ELK, EPHT2, HEK6, NET |
| Entrez GeneID | 2047 |
| Swissprot | P54762 |
| WB Predicted band size | 109.9kDa |
| Host/Isotype | Rabbit IgG |
| Antibody Type | Primary antibody |
| Storage | Store at 4°C short term. Aliquot and store at -20°C long term. Avoid freeze/thaw cycles. |
| Species Reactivity | Human, Mouse, Rat |
| Immunogen | This EphB1 antibody is generated from rabbits immunized with a KLH conjugated synthetic peptide between 955-984 amino acids from the C-terminal region of human EphB1. |
| Formulation | Purified antibody in PBS with 0.05% sodium azide,1%BSA and 50% glycerol.prepared by Saturated Ammonium Sulfate (SAS) . |
Application |
|
|---|---|
| WB | 1/1000-1/2000 |
| IHC | 1/100-1/500 |
Product Image
- Western blot analysis of anti-EphB1 Pab (Cat. #P30021) in mouse brain tissue. EphB1 (arrow) was detected using purified Pab. Secondary HRP-anti-rabbit was used for signal visualization with chemiluminescence.
- EPHB1 Antibody (H970) (Cat. #P30021) western blot analysis in T47D cell line lysates (35ug/lane).This demonstrates the EPHB1 antibody detected the EPHB1 protein (arrow).
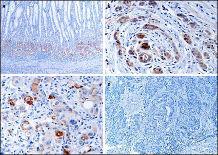
- Immunohistochemical analysis of EphB1 in gastric cancer tissues. a EphB1 protein expressed in normal mucosa at the glandular compartment and in a decreasing gradient from the glandular compartment to the foveolar compartment. b EphB1 protein focally positively stained in well-differentiated gastric cancer cells. c EphB1 protein is focally positive in poorly differentiated gastric cancer cells. d Loss of EphB1 expression in gastric cancer cells.(Provided by Jian-dong Wang,Department of Pathology Nanjing Jinling Hospital/Nanjing University School of Medicine)
- Formalin-fixed and paraffin-embedded human cancer tissue reacted with the primary antibody, which was peroxidase-conjugated to the secondary antibody, followed by DAB staining. This data demonstrates the use of this antibody for immunohistochemistry; clinical relevance has not been evaluated. BC = breast carcinoma; HC = hepatocarcinoma.
For Reseach Only
Application Key:WB - Western Blot | IHC - Immunohistochemistry | ICC - Immunocytochemistry | FCM - Flow Cytometry | ELISA - Enzyme-linked Immunosorbent Assay | IP - Immunoprecipitation
#P30021
相关产品

微信/QQ登录


首页
