提醒成功
搜索
Rabbit Polyclonal Antibody to Caspase 1
-
货号:
P23635 -
别名:
CASP1; IL1BC; IL1BCE; Caspase-1; CASP-1; Interleukin-1 beta convertase; IL-1BC; Interleukin-1 beta-converting enzyme; ICE; IL-1 beta-converting enzyme; p45 -
应用:
WB,IHC -
反应种属:
Human,Mouse,Rat -
抗体类型:
Primary antibody -
Swissprot:
P29466 -
规格:
-
数量:
-+ -
说明书:
目录价¥1980
Rabbit Polyclonal Antibody to Caspase 1
Description |
|---|
Thiol protease that cleaves IL-1 beta between an Asp and an Ala, releasing the mature cytokine which is involved in a variety of inflammatory processes. Important for defense against pathogens. Cleaves and activates sterol regulatory element binding proteins (SREBPs). Can also promote apoptosis. |
Specification |
|
|---|---|
| Aliases | CASP1; IL1BC; IL1BCE; Caspase-1; CASP-1; Interleukin-1 beta convertase; IL-1BC; Interleukin-1 beta-converting enzyme; ICE; IL-1 beta-converting enzyme; p45 |
| Entrez GeneID | 834 |
| Swissprot | P29466 |
| WB Predicted band size | Calculated MW: 45 kDa; Observed MW: 45 kDa |
| Host/Isotype | Rabbit IgG |
| Antibody Type | Primary antibody |
| Storage | Store at 4°C short term. Aliquot and store at -20°C long term. Avoid freeze/thaw cycles. |
| Species Reactivity | Human,Mouse,Rat |
| Immunogen | The antiserum was produced against synthesized peptide derived from human Caspase 1. AA range:342-391 |
| Formulation | Purified antibody in PBS with 0.05% sodium azide,0.5%BSA and 50% glycerol. |
Application |
|
|---|---|
| WB | 1/500-1/1000 |
| IHC | 1/50-1/100 |
| ELISA | 1/10000 |
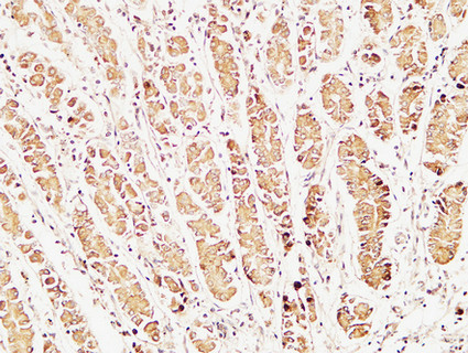
Product Image
For Reseach Only
Application Key:WB - Western Blot | IHC - Immunohistochemistry | ICC - Immunocytochemistry | FCM - Flow Cytometry | ELISA - Enzyme-linked Immunosorbent Assay | IP - Immunoprecipitation
#P23635
相关产品

微信/QQ登录


首页
