提醒成功
搜索
Rabbit Polyclonal Antibody to Angiopoietin 1
-
货号:
P23527 -
别名:
ANGPT1; KIAA0003; Angiopoietin-1; ANG-1 -
应用:
WB,IHC -
反应种属:
Human,Rat -
抗体类型:
Primary antibody -
Swissprot:
Q15389 -
规格:
-
数量:
-+ -
说明书:
目录价¥1980
Rabbit Polyclonal Antibody to Angiopoietin 1
Description |
|---|
Binds and activates TEK/TIE2 receptor by inducing its dimerization and tyrosine phosphorylation. Plays an important role in the regulation of angiogenesis, endothelial cell survival, proliferation, migration, adhesion and cell spreading, reorganization of the actin cytoskeleton, but also maintenance of vascular quiescence. Required for normal angiogenesis and heart development during embryogenesis. After birth, activates or inhibits angiogenesis, depending on the context. |
Specification |
|
|---|---|
| Aliases | ANGPT1; KIAA0003; Angiopoietin-1; ANG-1 |
| Entrez GeneID | 284 |
| Swissprot | Q15389 |
| WB Predicted band size | Calculated MW: 58 kDa; Observed MW: 58 kDa |
| Host/Isotype | Rabbit IgG |
| Antibody Type | Primary antibody |
| Storage | Store at 4°C short term. Aliquot and store at -20°C long term. Avoid freeze/thaw cycles. |
| Species Reactivity | Human,Rat |
| Immunogen | The antiserum was produced against synthesized peptide derived from the N-terminal region of human ANGPT1. AA range:1-50 |
| Formulation | Purified antibody in PBS with 0.05% sodium azide,0.5%BSA and 50% glycerol. |
Application |
|
|---|---|
| WB | 1/500-1/1000 |
| IHC | 1/50-1/100 |
| ELISA | 1/10000 |
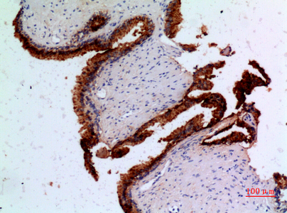
Product Image
- Western blot analysis of Angiopoietin 1 in A549, K562 lysates using Angiopoietin 1 antibody.
- Immunohistochemistry analysis of paraffin-embedded Human prostaticcancer using Angiopoietin 1 antibody.High-pressure and temperature Sodium Citrate pH 6.0 was used for antigen retrieval.
- Immunohistochemistry analysis of paraffin-embedded Human prostaticcancer using Angiopoietin 1 antibody. High-pressure and temperature Sodium Citrate pH 6.0 was used for antigen retrieval.
For Reseach Only
Application Key:WB - Western Blot | IHC - Immunohistochemistry | ICC - Immunocytochemistry | FCM - Flow Cytometry | ELISA - Enzyme-linked Immunosorbent Assay | IP - Immunoprecipitation
#P23527
相关产品

微信/QQ登录


首页
