提醒成功

搜索
Rabbit Polyclonal Antibody to VEGFC
-
货号:
P23526 -
别名:
VEGFC; Vascular endothelial growth factor C; VEGF-C; Flt4 ligand; Flt4-L; Vascular endothelial growth factor-related protein; VRP -
应用:
WB,IHC -
反应种属:
Human,Mouse,Rat -
抗体类型:
Primary antibody -
Swissprot:
P49767 -
规格:
-
数量:
-+ -
说明书:
目录价¥1980

Rabbit Polyclonal Antibody to VEGFC
Description |
---|
Growth factor active in angiogenesis, and endothelial cell growth, stimulating their proliferation and migration and also has effects on the permeability of blood vessels. |
Specification |
|
---|---|
Aliases | VEGFC; Vascular endothelial growth factor C; VEGF-C; Flt4 ligand; Flt4-L; Vascular endothelial growth factor-related protein; VRP |
Entrez GeneID | 7424 |
Swissprot | P49767 |
WB Predicted band size | Calculated MW: 47 kDa; Observed MW: 42 kDa |
Host/Isotype | Rabbit IgG |
Antibody Type | Primary antibody |
Storage | Store at 4°C short term. Aliquot and store at -20°C long term. Avoid freeze/thaw cycles. |
Species Reactivity | Human,Mouse,Rat |
Immunogen | The antiserum was produced against synthesized peptide derived from the Internal region of human VEGFC. AA range:91-140 |
Formulation | Purified antibody in PBS with 0.05% sodium azide,0.5%BSA and 50% glycerol. |
Application |
|
---|---|
WB | 1/500-1/1000 |
IHC | 1/50-1/100 |
ELISA | 1/10000 |
Product Image
- Western blot analysis of VEGFC in L929 lysates using VEGFC antibody.
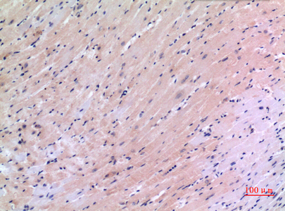
- Immunohistochemistry analysis of paraffin-embedded mouse heart using VEGFC antibody.High-pressure and temperature Sodium Citrate pH 6.0 was used for antigen retrieval.
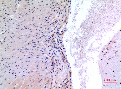
- Immunohistochemistry analysis of paraffin-embedded mouse heart using VEGFC antibody. High-pressure and temperature Sodium Citrate pH 6.0 was used for antigen retrieval.
For Reseach Only
Application Key:WB - Western Blot | IHC - Immunohistochemistry | ICC - Immunocytochemistry | FCM - Flow Cytometry | ELISA - Enzyme-linked Immunosorbent Assay | IP - Immunoprecipitation
#P23526

相关产品


