提醒成功

搜索
Rabbit Polyclonal Antibody to A1BG
-
货号:
P23523 -
别名:
A1BG; Alpha-1B-glycoprotein; Alpha-1-B glycoprotein -
应用:
WB,IHC -
反应种属:
Human -
抗体类型:
Primary antibody -
Swissprot:
P04217 -
规格:
-
数量:
-+ -
说明书:
目录价¥1980

Rabbit Polyclonal Antibody to A1BG
Description |
---|
A1BG is a plasma glycoprotein of unknown function. It shows sequence similarity to the variable regions of some immunoglobulin supergene family member proteins.A1BG was recently shown to bind cysteine rich secretory protein 3 (CRISP 3) with high affinity, and it has been suggested that A1BG protects against the potentially toxic effects of CRISP 3 in the circulation. |
Specification |
|
---|---|
Aliases | A1BG; Alpha-1B-glycoprotein; Alpha-1-B glycoprotein |
Entrez GeneID | 1 |
Swissprot | P04217 |
WB Predicted band size | Calculated MW: 54 kDa; Observed MW: 28 kDa |
Host/Isotype | Rabbit IgG |
Antibody Type | Primary antibody |
Storage | Store at 4°C short term. Aliquot and store at -20°C long term. Avoid freeze/thaw cycles. |
Species Reactivity | Human |
Immunogen | Synthesized peptide derived from A1BG . at AA range: 100-180 |
Formulation | Purified antibody in PBS with 0.05% sodium azide,0.5%BSA and 50% glycerol. |
Application |
|
---|---|
WB | 1/500-1/1000 |
IHC | 1/50-1/100 |
ELISA | 1/10000 |
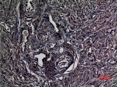
Product Image
- Western blot analysis of A1BG in K562 lysates using A1BG antibody.
- Immunohistochemistry analysis of paraffin-embedded Human ovary using A1BG antibody.High-pressure and temperature Sodium Citrate pH 6.0 was used for antigen retrieval.
- Immunohistochemistry analysis of paraffin-embedded Human ovary using A1BG antibody. High-pressure and temperature Sodium Citrate pH 6.0 was used for antigen retrieval.
- Immunohistochemistry analysis of paraffin-embedded Human uterus using A1BG antibody.High-pressure and temperature Sodium Citrate pH 6.0 was used for antigen retrieval.
- Immunohistochemistry analysis of paraffin-embedded Human uterus using A1BG antibody.High-pressure and temperature Sodium Citrate pH 6.0 was used for antigen retrieval.
For Reseach Only
Application Key:WB - Western Blot | IHC - Immunohistochemistry | ICC - Immunocytochemistry | FCM - Flow Cytometry | ELISA - Enzyme-linked Immunosorbent Assay | IP - Immunoprecipitation
#P23523

相关产品


