提醒成功

搜索
Rabbit Polyclonal Antibody to Cytokeratin 18
-
货号:
P23520 -
别名:
CK18; CYK18; KRT18 -
应用:
WB,IHC,IF,FCM -
反应种属:
Human -
抗体类型:
Primary antibody -
Swissprot:
P05784 -
规格:
-
数量:
-+ -
说明书:
目录价¥1980

Rabbit Polyclonal Antibody to Cytokeratin 18
Description |
---|
When phosphorylated, plays a role in filament reorganization. Involved in the delivery of mutated CFTR to the plasma membrane. Involved in the uptake of thrombin-antithrombin complexes by hepatic cells (By similarity). Together with KRT8, is involved in interleukin-6 (IL-6)-mediated barrier protection. |
Specification |
|
---|---|
Aliases | CK18; CYK18; KRT18 |
Entrez GeneID | 16668 |
Swissprot | P05784 |
WB Predicted band size | Calculated MW: 48 kDa; Observed MW: 48 kDa |
Host/Isotype | Rabbit IgG |
Antibody Type | Primary antibody |
Storage | Store at 4°C short term. Aliquot and store at -20°C long term. Avoid freeze/thaw cycles. |
Species Reactivity | Human |
Immunogen | Recombinant protein of mouse Cytokeratin 18 |
Formulation | Purified antibody in TBS with 0.05% sodium azide,0.05%BSA and 50% glycerol. |
Application |
|
---|---|
WB | 1/500-1/1000 |
IHC | 1/50-1/100 |
IF/ICC | 1/50-1/200 |
FCM | 1/50-1/100 |
Product Image
- Western blot analysis of Keratin 18 in Hela, K562 lysates using Cytokeratin 18 antibody.
- Immunocytochemistry analysis of Cytokeratin 18(green) in Hela using Cytokeratin 18 antibody,and DAPI(blue)
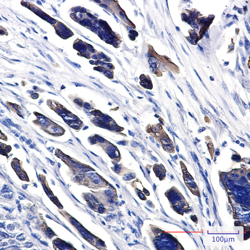
- Immunohistochemistry analysis of paraffin-embedded Human Cholangiocarcinoma using Cytokeratin 18 antibody. High-pressure and temperature Sodium Citrate pH 6.0 was used for antigen retrieval.
For Reseach Only
Application Key:WB - Western Blot | IHC - Immunohistochemistry | ICC - Immunocytochemistry | FCM - Flow Cytometry | ELISA - Enzyme-linked Immunosorbent Assay | IP - Immunoprecipitation
#P23520

相关产品


