提醒成功
搜索
Rabbit Polyclonal Antibody to CNOT7
-
货号:
P23487 -
别名:
CCR4-associated factor 1; CAF-1 -
应用:
WB,IP,IHC,FCM -
反应种属:
Human,Mouse,Rat,Monkey -
抗体类型:
Primary antibody -
Swissprot:
Q60809 -
规格:
-
数量:
-+ -
说明书:
目录价¥1980
Rabbit Polyclonal Antibody to CNOT7
Description |
|---|
Has 3'-5' poly(A) exoribonuclease activity for synthetic poly(A) RNA substrate. Its function seems to be partially redundant with that of CNOT8. Catalytic component of the CCR4-NOT complex which is one of the major cellular mRNA deadenylases and is linked to various cellular processes including bulk mRNA degradation, miRNA-mediated repression, translational repression during translational initiation and general transcription regulation. |
Specification |
|
|---|---|
| Aliases | CCR4-associated factor 1; CAF-1 |
| Entrez GeneID | 18983 |
| Swissprot | Q60809 |
| WB Predicted band size | Calculated MW: 33 kDa; Observed MW: 33 kDa |
| Host/Isotype | Rabbit IgG |
| Antibody Type | Primary antibody |
| Storage | Store at 4°C short term. Aliquot and store at -20°C long term. Avoid freeze/thaw cycles. |
| Species Reactivity | Human,Mouse,Rat,Monkey |
| Immunogen | A synthetic peptide of mouse CNOT7 |
| Formulation | Purified antibody in TBS with 0.05% sodium azide,0.05%BSA and 50% glycerol. |
Application |
|
|---|---|
| WB | 1/500-1/1000 |
| IP | 1/10-1/20 |
| IHC | 1/50-1/100 |
| FCM | 1/50-1/100 |
Product Image
- Western blot analysis of CNOT7 in F9, C6, PC-12, 3T3, Raw264.7 lysates using CNOT7 antibody.
- Western blot analysis of CNOT7 in Molt4, Raji, COS7, Hela lysates using CNOT7 antibody.
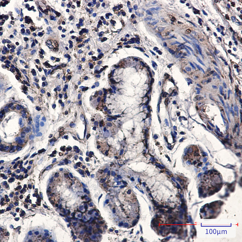
- Immunohistochemistry analysis of paraffin-embedded Human lung cancer using CNOT7 antibody. High-pressure and temperature Sodium Citrate pH 6.0 was used for antigen retrieval.
For Reseach Only
Application Key:WB - Western Blot | IHC - Immunohistochemistry | ICC - Immunocytochemistry | FCM - Flow Cytometry | ELISA - Enzyme-linked Immunosorbent Assay | IP - Immunoprecipitation
#P23487
相关产品

微信/QQ登录


首页
