提醒成功
搜索
Rabbit Monoclonal Antibody to p21
-
货号:
P23482 -
别名:
CDKN1A; CAP20; CDKN1; CIP1; MDA6; PIC1; SDI1; WAF1; Cyclin-dependent kinase inhibitor 1; CDK-interacting protein 1; Melanoma differentiation-associated protein 6; MDA-6; p21 -
应用:
WB,IP,IHC,FCM,IF -
反应种属:
Human -
抗体类型:
Primary antibody -
Swissprot:
P38936 -
规格:
-
数量:
-+ -
说明书:
目录价¥1980
Rabbit Monoclonal Antibody to p21
Description |
|---|
The tumor suppressor protein p21 Waf1/Cip1 acts as an inhibitor of cell cycle progression. It functions in stoichiometric relationships forming heterotrimeric complexes with cyclins and cyclin-dependent kinases. In association with CDK2 complexes, it serves to inhibit kinase activity and block progression through G1/S. However, p21 may also enhance assembly and activity in complexes of CDK4 or CDK6 and cyclin D. |
Specification |
|
|---|---|
| Aliases | CDKN1A; CAP20; CDKN1; CIP1; MDA6; PIC1; SDI1; WAF1; Cyclin-dependent kinase inhibitor 1; CDK-interacting protein 1; Melanoma differentiation-associated protein 6; MDA-6; p21 |
| Entrez GeneID | 1026 |
| Swissprot | P38936 |
| WB Predicted band size | Calculated MW: 18 kDa; Observed MW: 21 kDa |
| Host/Isotype | Rabbit IgG |
| Antibody Type | Primary antibody |
| Storage | Store at 4°C short term. Aliquot and store at -20°C long term. Avoid freeze/thaw cycles. |
| Species Reactivity | Human |
| Immunogen | A synthetic peptide of human p21 |
| Formulation | Purified antibody in TBS with 0.05% sodium azide,0.05%BSA and 50% glycerol. |
Application |
|
|---|---|
| WB | 1/500-1/1000 |
| IP | 1/10-1/20 |
| IHC | 1/50-1/100 |
| FCM | 1/50-1/100 |
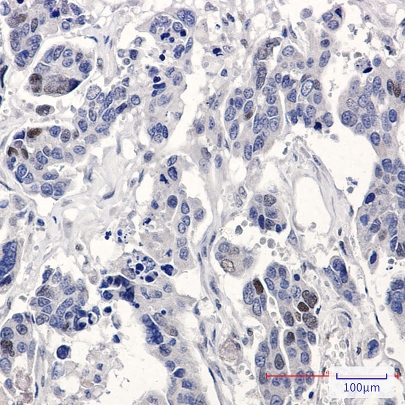
Product Image
For Reseach Only
Application Key:WB - Western Blot | IHC - Immunohistochemistry | ICC - Immunocytochemistry | FCM - Flow Cytometry | ELISA - Enzyme-linked Immunosorbent Assay | IP - Immunoprecipitation
#P23482
相关产品

微信/QQ登录


首页
