提醒成功
搜索
Rabbit Polyclonal Antibody to Hsp70
-
货号:
P23481 -
别名:
HSP72; HSPA1; HSX70 -
应用:
WB,IP,IHC,FCM -
反应种属:
Human -
抗体类型:
Primary antibody -
Swissprot:
P0DMV8 -
规格:
-
数量:
-+ -
说明书:
目录价¥1980
Rabbit Polyclonal Antibody to Hsp70
Description |
|---|
In conjuction with other heat shock proteins, this protein stabilizes existing proteins against aggregation and mediates the folding of newly translated proteins in the cytosol and in organelles. It is also involved in the ubiquitin-proteasome pathway through interaction with the AU-rich element RNA-binding protein 1. The gene is located in the major histocompatibility complex class III region, in a cluster with two closely related genes which encode similar proteins. |
Specification |
|
|---|---|
| Aliases | HSP72; HSPA1; HSX70 |
| Entrez GeneID | 3303 |
| Swissprot | P0DMV8 |
| WB Predicted band size | Calculated MW: 70 kDa; Observed MW: 70 kDa |
| Host/Isotype | Rabbit IgG |
| Antibody Type | Primary antibody |
| Storage | Store at 4°C short term. Aliquot and store at -20°C long term. Avoid freeze/thaw cycles. |
| Species Reactivity | Human |
| Immunogen | Recombinant protein of human Hsp70 |
| Formulation | Purified antibody in TBS with 0.05% sodium azide,0.05%BSA and 50% glycerol. |
Application |
|
|---|---|
| WB | 1/500-1/1000 |
| IP | 1/10-1/20 |
| IHC | 1/50-1/100 |
| FCM | 1/50-1/100 |
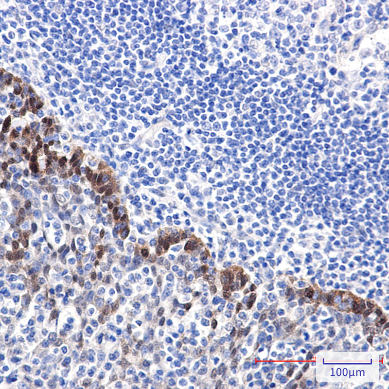
Product Image
For Reseach Only
Application Key:WB - Western Blot | IHC - Immunohistochemistry | ICC - Immunocytochemistry | FCM - Flow Cytometry | ELISA - Enzyme-linked Immunosorbent Assay | IP - Immunoprecipitation
#P23481
相关产品

微信/QQ登录


首页
