提醒成功
搜索
Rabbit Polyclonal Antibody to SA2
-
货号:
P23480 -
别名:
SA 2; SA-2; SA2; SCC3 homolog 2; SCC3B; stag2; Stromal antigen 2 -
应用:
WB,IHC,IF,FCM -
反应种属:
Human,Mouse,Rat -
抗体类型:
Primary antibody -
Swissprot:
Q8N3U4 -
规格:
-
数量:
-+ -
说明书:
目录价¥1980
Rabbit Polyclonal Antibody to SA2
Description |
|---|
Component of cohesin complex, a complex required for the cohesion of sister chromatids after DNA replication. The cohesin complex apparently forms a large proteinaceous ring within which sister chromatids can be trapped. At anaphase, the complex is cleaved and dissociates from chromatin, allowing sister chromatids to segregate. |
Specification |
|
|---|---|
| Aliases | SA 2; SA-2; SA2; SCC3 homolog 2; SCC3B; stag2; Stromal antigen 2 |
| Entrez GeneID | 10735 |
| Swissprot | Q8N3U4 |
| WB Predicted band size | Calculated MW: 141 kDa; Observed MW: 141 kDa |
| Host/Isotype | Rabbit IgG |
| Antibody Type | Primary antibody |
| Storage | Store at 4°C short term. Aliquot and store at -20°C long term. Avoid freeze/thaw cycles. |
| Species Reactivity | Human,Mouse,Rat |
| Immunogen | Recombinant protein of human SA2 |
| Formulation | Purified antibody in TBS with 0.05% sodium azide,0.05%BSA and 50% glycerol. |
Application |
|
|---|---|
| WB | 1/500-1/1000 |
| IHC | 1/50-1/100 |
| IF/ICC | 1/50-1/200 |
| FCM | 1/50-1/100 |
Product Image
- Western blot analysis of SA2/STAG2 in K562, C6, 3T3, Hela lysates using SA2 antibody.
- Immunocytochemistry analysis of SA2(green) in Hela using SA2 antibody,and DAPI(blue)
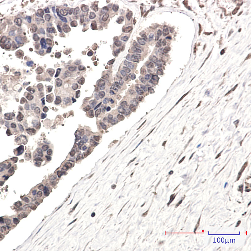
- Immunohistochemistry analysis of paraffin-embedded Human Cholangiocarcinoma using SA2 antibody. High-pressure and temperature Sodium Citrate pH 6.0 was used for antigen retrieval.
For Reseach Only
Application Key:WB - Western Blot | IHC - Immunohistochemistry | ICC - Immunocytochemistry | FCM - Flow Cytometry | ELISA - Enzyme-linked Immunosorbent Assay | IP - Immunoprecipitation
#P23480
相关产品

微信/QQ登录


首页
