提醒成功
搜索
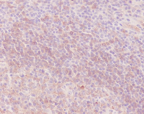
Rabbit Polyclonal Antibody to Human IgM
-
货号:
P23460 -
别名:
Ig mu chain C region -
应用:
WB,IP,IHC -
反应种属:
Human -
抗体类型:
Primary antibody -
Swissprot:
P01871 -
规格:
-
数量:
-+ -
说明书:
目录价¥1980
Rabbit Polyclonal Antibody to Human IgM
Description |
|---|
IgM measurement yields information about the body's immediate resistance and response to infection as well as information related to specific diseases. Decreased levels are associated with immune deficiency states, hereditary deficiencies, and myeloma. Increased levels can be associated with Waldenstrom's macroglobulinemia, chronic infection and hepatocellular disease. |
Specification |
|
|---|---|
| Aliases | Ig mu chain C region |
| Entrez GeneID | 3507 |
| Swissprot | P01871 |
| WB Predicted band size | Calculated MW: 49 kDa; Observed MW: 75 kDa |
| Host/Isotype | Rabbit IgG |
| Antibody Type | Primary antibody |
| Storage | Store at 4°C short term. Aliquot and store at -20°C long term. Avoid freeze/thaw cycles. |
| Species Reactivity | Human |
| Immunogen | A synthesized peptide derived from human Human IgM |
| Formulation | Purified antibody in PBS with 0.05% sodium azide. |
Application |
|
|---|---|
| WB | 1/500-1/1000 |
| IP | 1/10-1/20 |
| IHC | 1/50-1/100 |
Product Image
For Reseach Only
Application Key:WB - Western Blot | IHC - Immunohistochemistry | ICC - Immunocytochemistry | FCM - Flow Cytometry | ELISA - Enzyme-linked Immunosorbent Assay | IP - Immunoprecipitation
#P23460
相关产品

微信/QQ登录


首页
