提醒成功
搜索
Rabbit Polyclonal Antibody to IKK beta
-
货号:
P23458 -
别名:
IKBKB; IKKB; Inhibitor of nuclear factor kappa-B kinase subunit beta; I-kappa-B-kinase beta; IKK-B; IKK-beta; IkBKB; I-kappa-B kinase 2; IKK2; Nuclear factor NF-kappa-B inhibitor kinase beta; NFKBIKB -
应用:
WB,IHC,IF -
反应种属:
Human,Mouse,Rat -
抗体类型:
Primary antibody -
Swissprot:
O14920 -
规格:
-
数量:
-+ -
说明书:
目录价¥1980
Rabbit Polyclonal Antibody to IKK beta
Description |
|---|
The NF-κB/Rel transcription factors are present in the cytosol in an inactive state, complexed with the inhibitory IκB proteins (1-3). Most agents that activate NF-κB do so through a common pathway based on phosphorylation-induced, proteasome-mediated degradation of IκB (3-7). The key regulatory step in this pathway involves activation of a high molecular weight IκB kinase (IKK) complex whose catalysis is generally carried out by three tightly associated IKK subunits. |
Specification |
|
|---|---|
| Aliases | IKBKB; IKKB; Inhibitor of nuclear factor kappa-B kinase subunit beta; I-kappa-B-kinase beta; IKK-B; IKK-beta; IkBKB; I-kappa-B kinase 2; IKK2; Nuclear factor NF-kappa-B inhibitor kinase beta; NFKBIKB |
| Entrez GeneID | 3551 |
| Swissprot | O14920 |
| WB Predicted band size | Calculated MW: 87 kDa; Observed MW: 87 kDa |
| Host/Isotype | Rabbit IgG |
| Antibody Type | Primary antibody |
| Storage | Store at 4°C short term. Aliquot and store at -20°C long term. Avoid freeze/thaw cycles. |
| Species Reactivity | Human,Mouse,Rat |
| Immunogen | A synthesized peptide derived from human IKK beta |
| Formulation | Purified antibody in PBS with 0.05% sodium azide. |
Application |
|
|---|---|
| WB | 1/500-1/1000 |
| IHC | 1/50-1/100 |
| IF/ICC | 1/50-1/200 |
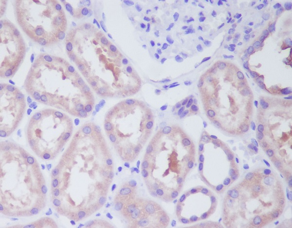
Product Image
- Western blot analysis of IKK beta in HeLa lysates using IKK beta antibody.
- Immunofluorescence analysis of IKK beta in HeLa using IKK beta antibody.
- Immunohistochemistry analysis of paraffin-embedded Human kidney using IKK beta antibody.High-pressure and temperature Sodium Citrate pH 6.0 was used for antigen retrieval.
For Reseach Only
Application Key:WB - Western Blot | IHC - Immunohistochemistry | ICC - Immunocytochemistry | FCM - Flow Cytometry | ELISA - Enzyme-linked Immunosorbent Assay | IP - Immunoprecipitation
#P23458
相关产品

微信/QQ登录


首页
