提醒成功

搜索
Rabbit Polyclonal Antibody to AKT
-
货号:
P23454 -
别名:
AKT1 -
应用:
WB,IP,IHC,IF,FCM -
反应种属:
Human,Mouse,Rat -
抗体类型:
Primary antibody -
Swissprot:
P31749/P31751/Q9Y243 -
规格:
-
数量:
-+ -
说明书:
目录价¥1980

Rabbit Polyclonal Antibody to AKT
Description |
---|
Akt, also referred to as PKB or Rac, plays a critical role in controlling survival and apoptosis. This protein kinase is activated by insulin and various growth and survival factors to function in a wortmannin-sensitive pathway involving PI3 kinase. Akt is activated by phospholipid binding and activation loop phosphorylation at Thr308 by PDK1 and by phosphorylation within the carboxy terminus at Ser473. |
Specification |
|
---|---|
Aliases | AKT1 |
Entrez GeneID | 207/208/10000 |
Swissprot | P31749/P31751/Q9Y243 |
WB Predicted band size | Calculated MW: 56 kDa; Observed MW: 56 kDa |
Host/Isotype | Rabbit IgG |
Antibody Type | Primary antibody |
Storage | Store at 4°C short term. Aliquot and store at -20°C long term. Avoid freeze/thaw cycles. |
Species Reactivity | Human,Mouse,Rat |
Immunogen | A synthesized peptide derived from human AKT1/2/3 |
Formulation | Purified antibody in PBS with 0.05% sodium azide. |
Application |
|
---|---|
WB | 1/500-1/1000 |
IP | 1/10-1/20 |
IHC | 1/50-1/100 |
IF/ICC | 1/50-1/200 |
FCM | 1/50-1/100 |
Product Image
- Western blot analysis of AKT in K562, A549 and Jurkat lysates using AKT antibody.
- Immunofluorescence analysis of AKT in MCF-7 using AKT antibody.
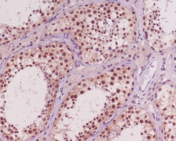
- Immunohistochemistry analysis of paraffin-embedded Human testis using AKT antibody.High-pressure and temperature Sodium Citrate pH 6.0 was used for antigen retrieval.
For Reseach Only
Application Key:WB - Western Blot | IHC - Immunohistochemistry | ICC - Immunocytochemistry | FCM - Flow Cytometry | ELISA - Enzyme-linked Immunosorbent Assay | IP - Immunoprecipitation
#P23454

相关产品


