提醒成功

搜索
Mouse Monoclonal Antibody to FOS
-
货号:
30360 -
别名:
p55; AP-1; C-FOS -
应用:
WB,IHC,FCM -
反应种属:
Human -
抗体类型:
Primary antibody -
Swissprot:
P01100 -
规格:
-
数量:
-+ -
说明书:
目录价¥2180

Mouse Monoclonal Antibody to FOS
Description |
---|
The Fos gene family consists of 4 members: FOS, FOSB, FOSL1, and FOSL2. These genes encode leucine zipper proteins that can dimerize with proteins of the JUN family, thereby forming the transcription factor complex AP-1. As such, the FOS proteins have been implicated as regulators of cell proliferation, differentiation, and transformation. In some cases, expression of the FOS gene has also been associated with apoptotic cell death. |
References |
---|
Mol Cell Biochem. 2010 Apr;337(1-2):53-63. Cancer Invest. 2009 Oct;27(8):816-24. |
Specification |
|
---|---|
Aliases | p55; AP-1; C-FOS |
Entrez GeneID | 2353 |
Swissprot | P01100 |
clone | 2G2 |
WB Predicted band size | 40.7kDa |
Host/Isotype | Mouse IgG1 |
Antibody Type | Primary antibody |
Storage | Store at 4°C short term. Aliquot and store at -20°C long term. Avoid freeze/thaw cycles. |
Species Reactivity | Human |
Immunogen | Purified recombinant fragment of human FOS expressed in E. Coli. |
Formulation | Purified antibody in PBS with 0.05% sodium azide. |
Application |
|
---|---|
WB | 1/500 - 1/2000 |
IHC | 1/200 - 1/1000 |
FCM | 1/200 - 1/400 |
ELISA | 1/10000 |
Product Image
- Black line: Control Antigen (100 ng); Purple line: Antigen(10ng); Blue line: Antigen (50 ng); Red line: Antigen (100 ng);
- Western blot analysis using FOS mouse mAb against HeLa (1), and HeLa (2) cell lysate.
- Flow cytometric analysis of HeLa cells using FOS mouse mAb (green) and negative control (red).
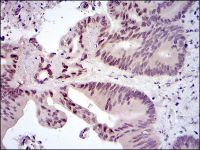
- Immunohistochemical analysis of paraffin-embedded human colon cancer tissues using FOS mouse mAb with DAB staining.
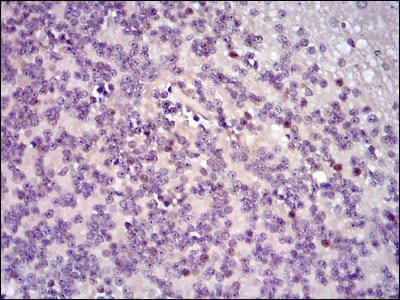
- Immunohistochemical analysis of paraffin-embedded human cerebellum tissues using FOS mouse mAb with DAB staining.
For Reseach Only
Application Key:WB - Western Blot | IHC - Immunohistochemistry | ICC - Immunocytochemistry | FCM - Flow Cytometry | ELISA - Enzyme-linked Immunosorbent Assay | IP - Immunoprecipitation
#30360

相关产品


