提醒成功

搜索
Mouse Monoclonal Antibody to G6PD
-
货号:
30287 -
别名:
G6PD1 -
应用:
WB,IHC,FCM -
反应种属:
Human -
抗体类型:
Primary antibody -
Swissprot:
P11413 -
规格:
-
数量:
-+ -
说明书:
目录价¥2180

Mouse Monoclonal Antibody to G6PD
Description |
---|
This gene encodes glucose-6-phosphate dehydrogenase. This protein is a cytosolic enzyme encoded by a housekeeping X-linked gene whose main function is to produce NADPH, a key electron donor in the defense against oxidizing agents and in reductive biosynthetic reactions. G6PD is remarkable for its genetic diversity. Many variants of G6PD, mostly produced from missense mutations, have been described with wide ranging levels of enzyme activity and associated clinical symptoms. G6PD deficiency may cause neonatal jaundice, acute hemolysis, or severe chronic non-spherocytic hemolytic anemia. Two transcript variants encoding different isoforms have been found for this gene. |
References |
---|
1. Science. 2009 Dec 11;326(5959):1546-9. 2. Immunol Invest. 2009;38(6):551-9. |
Specification |
|
---|---|
Aliases | G6PD1 |
Entrez GeneID | 2539 |
Swissprot | P11413 |
clone | 2H7 |
WB Predicted band size | 59kDa |
Host/Isotype | Mouse IgG1 |
Antibody Type | Primary antibody |
Storage | Store at 4°C short term. Aliquot and store at -20°C long term. Avoid freeze/thaw cycles. |
Species Reactivity | Human |
Immunogen | Purified recombinant fragment of human G6PD expressed in E. Coli. |
Formulation | Purified antibody in PBS with 0.05% sodium azide. |
Application |
|
---|---|
WB | 1/500 - 1/2000 |
IHC | 1/200 - 1/1000 |
FCM | 1/200 - 1/400 |
ELISA | 1/10000 |
Product Image
- Black line: Control Antigen (100 ng); Purple line: Antigen(10ng); Blue line: Antigen (50 ng); Red line: Antigen (100 ng);
- Western blot analysis using G6PD mouse mAb against Hela (1), MCF-7 (2), Jurkat (3) and K562 (4) cell lysate.
- Flow cytometric analysis of Jurkat cells using G6PD mouse mAb (green) and negative control (red).
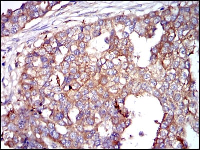
- Immunohistochemical analysis of paraffin-embedded human breast cancer tissues using G6PD mouse mAb with DAB staining.
- Immunohistochemical analysis of paraffin-embedded human kidney cancer tissues using G6PD mouse mAb with DAB staining.
For Reseach Only
Application Key:WB - Western Blot | IHC - Immunohistochemistry | ICC - Immunocytochemistry | FCM - Flow Cytometry | ELISA - Enzyme-linked Immunosorbent Assay | IP - Immunoprecipitation
#30287

相关产品


