提醒成功

搜索
Mouse Monoclonal Antibody to ApoE
-
货号:
30215 -
别名:
AD2; LPG; LDLCQ5; MGC1571 -
应用:
IHC,FCM -
反应种属:
Human -
抗体类型:
Primary antibody -
Swissprot:
P02649 -
规格:
-
数量:
-+ -
说明书:
目录价¥2180

Mouse Monoclonal Antibody to ApoE
Description |
---|
Chylomicron remnants and very low density lipoprotein (VLDL) remnants are rapidly removed from the circulation by receptor-mediated endocytosis in the liver. Apolipoprotein E, a main apoprotein of the chylomicron, binds to a specific receptor on liver cells and peripheral cells. ApoE is essential for the normal catabolism of triglyceride-rich lipoprotein constituents. The APOE gene is mapped to chromosome 19 in a cluster with APOC1 and APOC2. Defects in apolipoprotein E result in familial dysbetalipoproteinemia, or type III hyperlipoproteinemia (HLP III), in which increased plasma cholesterol and triglycerides are the consequence of impaired clearance of chylomicron and VLDL remnants. Tissue specificity: Occurs in all lipoprotein fractions in plasma. It constitutes 10-20% of very low density lipoproteins (VLDL) and 1-2% of high density lipoproteins (HDL). APOE is produced in most organs. Significant quantities are produced in liver, brain, spleen, lung, adrenal, ovary, kidney and muscle. |
References |
---|
1. Arch Dermatol Res. 2009 Jul;301(6):405-10. 2. Pharmacogenomics J. 2009 Aug;9(4):248-57. |
Specification |
|
---|---|
Aliases | AD2; LPG; LDLCQ5; MGC1571 |
Entrez GeneID | 348 |
Swissprot | P02649 |
clone | 1H4 |
WB Predicted band size | 36kDa |
Host/Isotype | Mouse IgG1 |
Antibody Type | Primary antibody |
Storage | Store at 4°C short term. Aliquot and store at -20°C long term. Avoid freeze/thaw cycles. |
Species Reactivity | Human |
Immunogen | Purified recombinant fragment of human ApoE expressed in E. Coli. |
Formulation | Purified antibody in PBS with 0.05% sodium azide. |
Application |
|
---|---|
IHC | 1/200 - 1/1000 |
FCM | 1/200 - 1/400 |
ELISA | 1/10000 |
Product Image
- Red: Control Antigen (100ng); Purple: Antigen (10ng); Green: Antigen (50ng); Blue: Antigen (100ng);
- Flow cytometric analysis of HepG2 cells using ApoE mouse mAb (green) and negative control (purple).
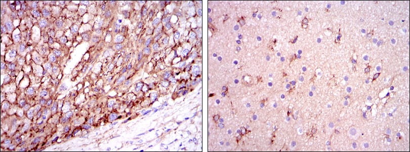
- Immunohistochemical analysis of paraffin-embedded human liver cancer tissues (left) and brain tissues (right) using ApoE mouse mAb with DAB staining.
For Reseach Only
Application Key:WB - Western Blot | IHC - Immunohistochemistry | ICC - Immunocytochemistry | FCM - Flow Cytometry | ELISA - Enzyme-linked Immunosorbent Assay | IP - Immunoprecipitation
#30215

相关产品


