提醒成功

搜索
Mouse Monoclonal Antibody to ATF2
-
货号:
30164 -
别名:
HB16; CREB2; TREB7; CRE-BP1; MGC111558; ATF2 -
应用:
WB,IHC -
反应种属:
Human,Mouse -
抗体类型:
Primary antibody -
Swissprot:
P15336 -
规格:
-
数量:
-+ -
说明书:
目录价¥2180

Mouse Monoclonal Antibody to ATF2
Description |
---|
This gene encodes a transcription factor that is a member of the leucine zipper family of DNA binding proteins. This protein binds to the cAMP-responsive element (CRE), an octameric palindrome. The protein forms a homodimer or heterodimer with c-Jun and stimulates CRE-dependent transcription. The protein is also a histone acetyltransferase (HAT) that specifically acetylates histones H2B and H4 in vitro; thus it may represent a class of sequence-specific factors that activate transcription by direct effects on chromatin components. Additional transcript variants have been identified but their biological validity has not been determined.Tissue specificity: Abundant expression seen in the brain. |
References |
---|
1. J Dermatol Sci. 2008 Sep;51(3):210-5. 2. J Biol Chem. 2008 Jun 20;283(25):17605-14. |
Specification |
|
---|---|
Aliases | HB16; CREB2; TREB7; CRE-BP1; MGC111558; ATF2 |
Entrez GeneID | 1386 |
Swissprot | P15336 |
clone | 4F12 |
WB Predicted band size | 55kDa |
Host/Isotype | Mouse IgG1 |
Antibody Type | Primary antibody |
Storage | Store at 4°C short term. Aliquot and store at -20°C long term. Avoid freeze/thaw cycles. |
Species Reactivity | Human,Mouse |
Immunogen | Purified recombinant fragment of human ATF2 expressed in E. Coli. |
Formulation | Ascitic fluid containing 0.03% sodium azide. |
Application |
|
---|---|
WB | 1/500 - 1/2000 |
IHC | 1/200 - 1/1000 |
ELISA | 1/10000 |
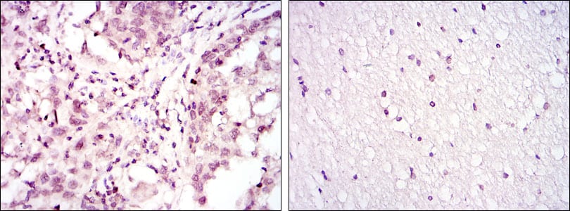
Product Image
- Red: Control Antigen (100ng); Purple: Antigen (10ng); Green: Antigen (50ng); Blue: Antigen (100ng);
- Western blot analysis using ATF2 mouse mAb against NIH/3T3 cell lysate.
- Immunohistochemical analysis of paraffin-embedded human lung cancer (left) and brain tissues (right) using ATF2 mouse mAb with DAB staining.
For Reseach Only
Application Key:WB - Western Blot | IHC - Immunohistochemistry | ICC - Immunocytochemistry | FCM - Flow Cytometry | ELISA - Enzyme-linked Immunosorbent Assay | IP - Immunoprecipitation
#30164

相关产品


