提醒成功

搜索
Mouse Monoclonal Antibody to SIRT1
-
货号:
30086 -
别名:
SIR2L1; SIRT1 -
应用:
WB,IHC,IF,FCM -
反应种属:
Human,Mouse,Rat,Rabbit,Monkey -
抗体类型:
Primary antibody -
Swissprot:
Q96EB6 -
规格:
-
数量:
-+ -
说明书:
目录价¥2180

Mouse Monoclonal Antibody to SIRT1
Description |
---|
The Sir2 protein in yeast is known to function in transcriptional silencing processes through the deacetylation of histones H3 and H4. The more recently described human homologue of Sir2, known as SIRT1, has been found to associate with the tumor suppressor protein p53.SIRT1 binds and deacetylates p53 with specificity for its C-terminal Lys382 residue in response to the upregulation of promyelocytic leukemia protein (PML) nuclear bodies or oncogenic Ras. The deacetylation of p53 SIRT1 has been shown to negatively regulate p53-mediated transcription, preventing cellular senescence and apoptosis induced by DNA damage and stress.SIRT1 has the closest homology to the yeast Sir2p and is widely expressed in fetal and adult tissues, with high expression in heart, brain and skeletal muscle and low expression in lung and placenta. SIRT1 regulates the p53-dependent DNA damage response pathway by binding to and deacetylating p53, specifically at Lysine 382. |
References |
---|
1. Clin Cancer Res. 2009 Jul 1;15(13):4453-9. 2. Cell. 2009 Jul 23;138(2):389-403. 3. J Biol Chem. 2009 Oct 16;284(42):28762-74. |
Specification |
|
---|---|
Aliases | SIR2L1; SIRT1 |
Entrez GeneID | 23411 |
Swissprot | Q96EB6 |
clone | 1F3 |
WB Predicted band size | 120kDa |
Host/Isotype | Mouse IgG1 |
Antibody Type | Primary antibody |
Storage | Store at 4°C short term. Aliquot and store at -20°C long term. Avoid freeze/thaw cycles. |
Species Reactivity | Human,Mouse,Rat,Rabbit,Monkey |
Immunogen | Purified recombinant fragment of human SIRT1 expressed in E. Coli. |
Formulation | Purified antibody in PBS with 0.05% sodium azide. |
Application |
|
---|---|
WB | 1/500 - 1/2000 |
IHC | 1/200 - 1/1000 |
IF/ICC | 1/200 - 1/1000 |
FCM | 1/200 - 1/400 |
ELISA | 1/10000 |
Product Image
- Western blot analysis using SIRT1 mouse mAb against MCF-7 (1), Jurkat (2), Hela (3), HEK293 (4) and A549 (5) cell lysate.
- Western blot analysis using SIRT1 mouse mAb against L1210(1),F9,(2),Hela(3) cell lysate.
- Immunofluorescence analysis of NTERA-2 cells using SIRT1 mouse mAb (green). Red: Actin filaments have been labeled with Alexa Fluor-555 phalloidin.
- Flow cytometric analysis of K562 cells using SIRT1 mouse mAb (green) and negative control (purple).
- Immunohistochemical analysis of paraffin-embedded human lung cancer tissues (left) and kidney cancer tissues (right) using SIRT1 mouse mAb with DAB staining.
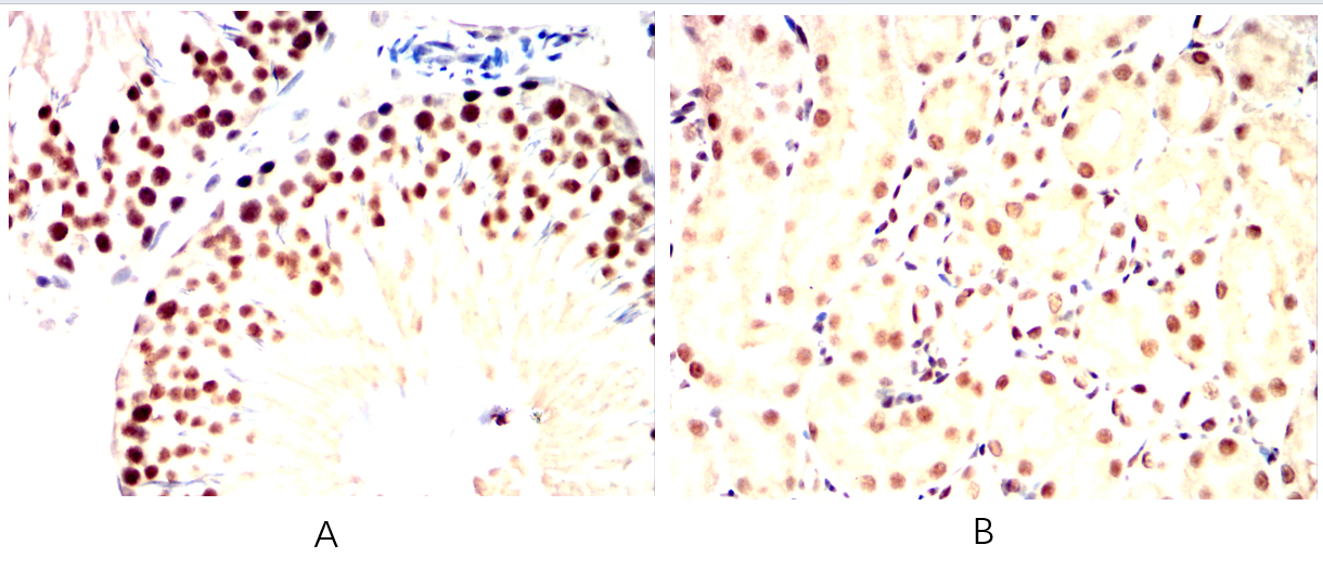
- Immunohistochemical analysis of paraffin-embedded Mouse testis(A)Mouse kidney(B) using SIRT1 mouse mAb with DAB staining.
- Immunohistochemical analysis of paraffin-embedded Rat spleen(A)Rat liver(B) using SIRT1 mouse mAb with DAB staining.
- Immunohistochemical analysis of paraffin-embedded Rabbit spleen(A)Rabbit liver(B) using SIRT1 mouse mAb with DAB staining.
For Reseach Only
Application Key:WB - Western Blot | IHC - Immunohistochemistry | ICC - Immunocytochemistry | FCM - Flow Cytometry | ELISA - Enzyme-linked Immunosorbent Assay | IP - Immunoprecipitation
#30086

相关产品


