提醒成功
搜索
Rabbit polyclonal antibody to ERK1/2 (Y204)
-
货号:
53006 -
别名:
Mitogen~activated protein kinase 3; MAP kinase 3; MAPK 3; ERT2; Extracellular signal~regulated kinase 1; ERK~1;Insulin~stimulated MAP2 kinase; MAP kinase isoform p44;p44~MAPK; Microtubule~associated protein 2 kinase; p44~ERK1; MAPK3; ERK1; PRKM3 -
应用:
WB IP IF IHC -
反应种属:
Human,Mouse,Rat -
抗体类型:
Primary antibody -
Swissprot:
P27361 -
规格:
-
数量:
-+ -
说明书:
目录价¥1280
Rabbit polyclonal antibody to ERK1/2 (Y204)
Description |
|---|
Mitogen~activated protein kinases (MAPKs) are a widely conserved family of serine/threonine protein kinases involved in many cellular programs, such as cell proliferation, differentiation, motility, and death. The p44/42 MAPK (Erk1/2) signaling pathway can be activated in response to a diverse range of extracellular stimuli including mitogens, growth factors, and cytokines, and research investigators consider it an important target in the diagnosis and treatment of cancer. Upon stimulation, a sequential three~part protein kinase cascade is initiated, consisting of a MAP kinase kinase kinase (MAPKKK or MAP3K), a MAP kinase kinase (MAPKK or MAP2K), and a MAP kinase (MAPK). Multiple p44/42 MAP3Ks have been identified, including members of the Raf family, as well as Mos and Tpl2/COT. MEK1 and MEK2 are the primary MAPKKs in this pathway. MEK1 and MEK2 activate p44 and p42 through phosphorylation of activation loop residues Thr202/Tyr204 and Thr185/Tyr187, respectively. Several downstream targets of p44/42 have been identified, including p90RSK and the transcription factor Elk~1. p44/42 are negatively regulated by a family of dual~specificity (Thr/Tyr) MAPK phosphatases, known as DUSPs or MKPs, along with MEK inhibitors, such as U0126 and PD98059. |
Specification |
|
|---|---|
| Aliases | Mitogen~activated protein kinase 3; MAP kinase 3; MAPK 3; ERT2; Extracellular signal~regulated kinase 1; ERK~1;Insulin~stimulated MAP2 kinase; MAP kinase isoform p44;p44~MAPK; Microtubule~associated protein 2 kinase; p44~ERK1; MAPK3; ERK1; PRKM3 |
| Swissprot | P27361 |
| clone | 3H3A3 |
| WB Predicted band size | ~42,44kDa |
| Host/Isotype | Rabbit IgG |
| Antibody Type | Primary antibody |
| Storage | Store at 4°C short term. Aliquot and store at ~20°C long term. Avoid freeze~thaw cycles. |
| Species Reactivity | Human,Mouse,Rat |
| Immunogen | Synthetic peptide, corresponding to Human ERK1/2. |
| Formulation | 1mg/ml in PBS with 0.02% sodium azide, 50% glycerol, pH7.2 |
Application |
|
|---|---|
| WB | 1/1000~1/2000 |
| IP | 1/50~1/200 |
| IHC | 1/50~1/200 |
| IF/ICC | 1/50~1/200 |
Product Image
- Western blot (WB) analysis of ERK1/2 (Y204) polyclonal antibody at 1:1000 dilution Lane1:HEK293T whole cell lysate(40ug) Lane2:Jurkat whole cell lysate(40ug) Lane3:A549 whole cell lysate(40ug) Lane4:The Spinal cord tissue lysate of Rat(40ug) Lane5:The Brain tissue lysate of Mouse(40ug)
- Immunoprecipitation of C6 cell lysates using ERK1/2 (Y204) pAb (Sepharose Bead Conjugate) (lane 2 and lane 3) and Nonspecific IgG Control (Sepharose Bead Conjugate) (lane 4 and lane 5) .Lane 1 is 30% input. The western blot was probed using ERK1/2 (Y204) pAb .
- Immunofluorescence analysis of A549 cells using ERK1/2 (Y204) antibody at dilution of 1:50.
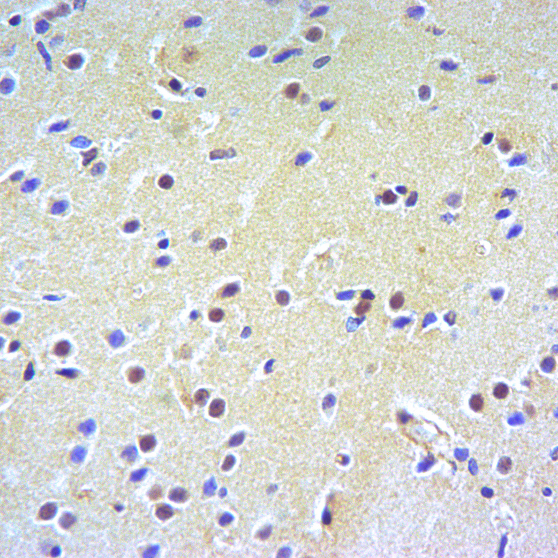
- Immunohistochemistry of paraffin~embedded Human Brain using ERK1/2 (Y204) antibody at dilution of 1:50.
For Reseach Only
Application Key:WB - Western Blot | IHC - Immunohistochemistry | ICC - Immunocytochemistry | FCM - Flow Cytometry | ELISA - Enzyme-linked Immunosorbent Assay | IP - Immunoprecipitation
#53006
相关产品

微信/QQ登录


首页
