提醒成功
搜索
Rabbit Polyclonal Antibody to stathmin1(Ab-62)
-
货号:
P41549 -
别名:
STMN1; STN1; stathmin -
应用:
WB,IHC -
反应种属:
Human,Mouse,Rat -
抗体类型:
Primary antibody -
Swissprot:
P16949 -
规格:
-
数量:
-+ -
说明书:
目录价¥1980
Rabbit Polyclonal Antibody to stathmin1(Ab-62)
Description |
|---|
Involved in the regulation of the microtubule (MT) filament system by destabilizing microtubules. Prevents assembly and promotes disassembly of microtubules. Phosphorylation at Ser-16 may be required for axon formation during neurogenesis. Involved in the control of the learned and innate fear |
References |
|---|
| Marklund, U. et al. (1994) Eur. J. Biochem. 225, 53-60.Gavet, O. et al. (1998) J. Cell Sci. 111, 3333-3346.Di Paolo, G. et al. (1996) J. Cell. Biol. 133, 1383-1390. |
Specification |
|
|---|---|
| Aliases | STMN1; STN1; stathmin |
| Entrez GeneID | 3925; |
| Swissprot | P16949 |
| WB Predicted band size | 19kDa |
| Host/Isotype | Rabbit IgG |
| Antibody Type | Primary antibody |
| Storage | Store at 4°C short term. Aliquot and store at -20°C long term. Avoid freeze/thaw cycles. |
| Species Reactivity | Human,Mouse,Rat |
| Immunogen | Peptide sequence around aa.60~64 (R-K-S-H-E) derived from Human Stathmin 1. |
| Formulation | Liquid in PBS containing 50% glycerol, 0.5% BSA and 0.02% sodium azide. |
Application |
|
|---|---|
| WB | 1/500-1/1000 |
| IHC | 1/50-1/100 |
Product Image
- Western blot analysis of extracts from Hela cells using stathmin1(Ab-62) Antibody P41549 and the same antibody preincubated with blocking peptide.
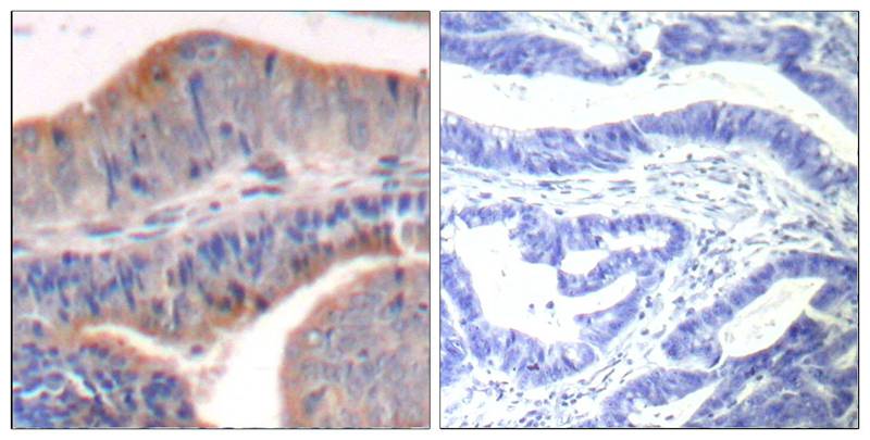
- Immunohistochemical analysis of paraffin-embedded human colon carcinoma tissue using stathmin1(Ab-62) Antibody P41549(left) or the same antibody preincubated with blocking peptide(right).
For Reseach Only
Application Key:WB - Western Blot | IHC - Immunohistochemistry | ICC - Immunocytochemistry | FCM - Flow Cytometry | ELISA - Enzyme-linked Immunosorbent Assay | IP - Immunoprecipitation
#P41549
相关产品

微信/QQ登录


首页
