提醒成功

搜索
Rabbit Monoclonal Antibody to ATP1B1
-
货号:
P21095 -
别名:
Adenosinetriphosphatase; ATP1B; ATP1B1; Atpb 1; ATPBS -
应用:
WB,IHC -
反应种属:
Human,Rat -
抗体类型:
Primary antibody -
Swissprot:
P05026 -
规格:
-
数量:
-+ -
说明书:
目录价¥2180

Rabbit Monoclonal Antibody to ATP1B1
Description |
---|
This is the non-catalytic component of the active enzyme, which catalyzes the hydrolysis of ATP coupled with the exchange of Na(+) and K(+) ions across the plasma membrane. The beta subunit regulates, through assembly of alpha/beta heterodimers, the number of sodium pumps transported to the plasma membrane. |
Specification |
|
---|---|
Aliases | Adenosinetriphosphatase; ATP1B; ATP1B1; Atpb 1; ATPBS |
Entrez GeneID | 481 |
Swissprot | P05026 |
WB Predicted band size | Calculated MW: 35 kDa; Observed MW: 45-55 kDa |
Host/Isotype | Rabbit IgG |
Antibody Type | Primary antibody |
Storage | Store at 4°C short term. Aliquot and store at -20°C long term. Avoid freeze/thaw cycles. |
Species Reactivity | Human,Rat |
Immunogen | A synthetic peptide of human ATP1B1 |
Formulation | Purified antibody in TBS with 0.05% sodium azide,0.05%BSA and 50% glycerol. |
Application |
|
---|---|
WB | 1/500-1/1000 |
IHC | 1/50-1/100 |
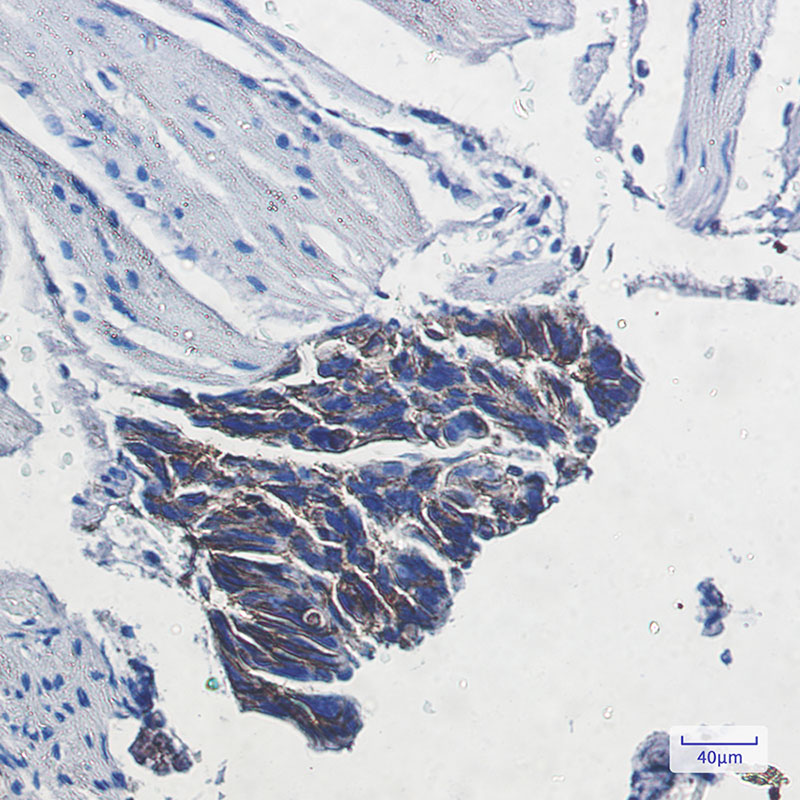
Product Image
- Western blot analysis of ATP1B1 in Caco2 lysates using ATP1B1 antibody.
- Western blot analysis of ATP1B1 in rat Brain lysates using ATP1B1 antibody.
- Immunohistochemistry analysis of paraffin-embedded Human colon cancer using ATP1B1 antibody. High-pressure and temperature Sodium Citrate pH 6.0 was used for antigen retrieval.
For Reseach Only
Application Key:WB - Western Blot | IHC - Immunohistochemistry | ICC - Immunocytochemistry | FCM - Flow Cytometry | ELISA - Enzyme-linked Immunosorbent Assay | IP - Immunoprecipitation
#P21095

相关产品


