提醒成功

搜索
Rabbit Monoclonal Antibody to ATF5
-
货号:
P21088 -
别名:
ATF5; ATFX; Cyclic AMP-dependent transcription factor ATF-5; cAMP-dependent transcription factor ATF-5; Activating transcription factor 5; Transcription factor ATFx -
应用:
WB,IP,IHC -
反应种属:
Human,Mouse,Rat -
抗体类型:
Primary antibody -
Swissprot:
Q9Y2D1 -
规格:
-
数量:
-+ -
说明书:
目录价¥2180

Rabbit Monoclonal Antibody to ATF5
Description |
---|
ATF5 or Activating transcription factor 5, binds to cAMP inducible promoters and is involved in gene transcription. This protein binds the cAMP response element (CRE) (consensus: 5'-GTGACGT[AC][AG]-3'), a sequence present in many viral and cellular promoters. ATF5 plays a role in inhibition of nerve growth factor induced neuronal outgrowth and regulation of neurogenesis. |
Specification |
|
---|---|
Aliases | ATF5; ATFX; Cyclic AMP-dependent transcription factor ATF-5; cAMP-dependent transcription factor ATF-5; Activating transcription factor 5; Transcription factor ATFx |
Entrez GeneID | 22809 |
Swissprot | Q9Y2D1 |
WB Predicted band size | Calculated MW: 31 kDa; Observed MW: 31 kDa |
Host/Isotype | Rabbit IgG |
Antibody Type | Primary antibody |
Storage | Store at 4°C short term. Aliquot and store at -20°C long term. Avoid freeze/thaw cycles. |
Species Reactivity | Human,Mouse,Rat |
Immunogen | A synthetic peptide of human ATF5 |
Formulation | Purified antibody in TBS with 0.05% sodium azide,0.05%BSA and 50% glycerol. |
Application |
|
---|---|
WB | 1/500-1/1000 |
IP | 1/10-1/20 |
IHC | 1/50-1/100 |
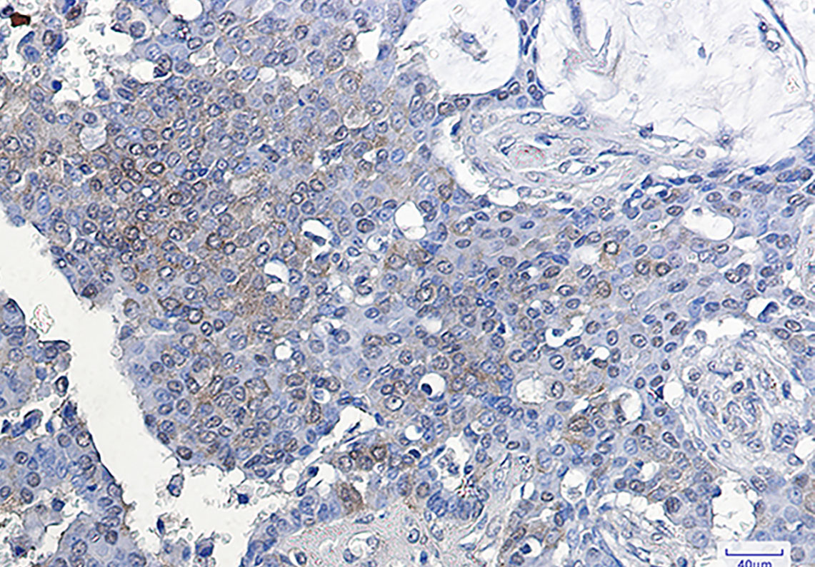
Product Image
- Western blot analysis of ATF5 in 3T3 lysates using ATF5 antibody.
- Western blot analysis of ATF5 in K562, rat Brain, C6, Hela lysates using ATF5 antibody.
- Immunohistochemistry analysis of paraffin-embedded Human breast cancer using ATF5 antibody. High-pressure and temperature Sodium Citrate pH 6.0 was used for antigen retrieval.
For Reseach Only
Application Key:WB - Western Blot | IHC - Immunohistochemistry | ICC - Immunocytochemistry | FCM - Flow Cytometry | ELISA - Enzyme-linked Immunosorbent Assay | IP - Immunoprecipitation
#P21088

相关产品


