提醒成功

搜索
Rabbit Monoclonal Antibody to Aspartate Aminotransferase
-
货号:
P21084 -
别名:
Aspartate aminotransferase; cytoplasmic; Glutamate oxaloacetate transaminase 1; Transaminase A -
应用:
WB,IHC,IF -
反应种属:
Human,Mouse,Rat -
抗体类型:
Primary antibody -
Swissprot:
P17174 -
规格:
-
数量:
-+ -
说明书:
目录价¥2180

Rabbit Monoclonal Antibody to Aspartate Aminotransferase
Description |
---|
Plays a key role in amino acid metabolism. |
Specification |
|
---|---|
Aliases | Aspartate aminotransferase; cytoplasmic; Glutamate oxaloacetate transaminase 1; Transaminase A |
Entrez GeneID | 2805 |
Swissprot | P17174 |
WB Predicted band size | Calculated MW: 46 kDa; Observed MW: 46 kDa |
Host/Isotype | Rabbit IgG |
Antibody Type | Primary antibody |
Storage | Store at 4°C short term. Aliquot and store at -20°C long term. Avoid freeze/thaw cycles. |
Species Reactivity | Human,Mouse,Rat |
Immunogen | A synthetic peptide of human Aspartate Aminotransferase |
Formulation | Purified antibody in TBS with 0.05% sodium azide,0.05%BSA and 50% glycerol. |
Application |
|
---|---|
WB | 1/500-1/1000 |
IHC | 1/50-1/100 |
IF/ICC | 1/50-1/200 |
Product Image
- Western blot analysis of Aspartate Aminotransferase in K562, rat Brain, 3T3, Hela lysates using Aspartate Aminotransferase antibody.
- Immunocytochemistry analysis of Aspartate Aminotransferase (green) in U87-MG using Aspartate Aminotransferase antibody,and DAPI(blue).
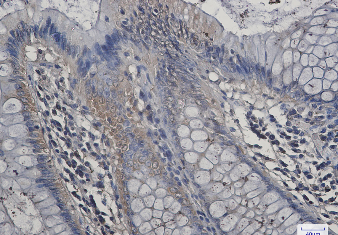
- Immunohistochemistry analysis of paraffin-embedded Human colon cancer tissue using Aspartate Aminotransferase antibody. High-pressure and temperature Sodium Citrate pH 6.0 was used for antigen retrieval.
For Reseach Only
Application Key:WB - Western Blot | IHC - Immunohistochemistry | ICC - Immunocytochemistry | FCM - Flow Cytometry | ELISA - Enzyme-linked Immunosorbent Assay | IP - Immunoprecipitation
#P21084

相关产品


