提醒成功

搜索
Rabbit Monoclonal Antibody to ASH2L
-
货号:
P21082 -
别名:
ASH2; Bre2; ASH2L1; ASH2L2 -
应用:
WB,IHC,IF -
反应种属:
Human,Mouse,Rat -
抗体类型:
Primary antibody -
Swissprot:
Q9UBL3 -
规格:
-
数量:
-+ -
说明书:
目录价¥2180

Rabbit Monoclonal Antibody to ASH2L
Description |
---|
Component of the Set1/Ash2 histone methyltransferase (HMT) complex, a complex that specifically methylates 'Lys-4' of histone H3, but not if the neighboring 'Lys-9' residue is already methylated. As part of the MLL1/MLL complex it is involved in methylation and dimethylation at 'Lys-4' of histone H3. May function as a transcriptional regulator. May play a role in hematopoiesis. |
Specification |
|
---|---|
Aliases | ASH2; Bre2; ASH2L1; ASH2L2 |
Entrez GeneID | 9070 |
Swissprot | Q9UBL3 |
WB Predicted band size | Calculated MW: 69 kDa; Observed MW: 80 kDa |
Host/Isotype | Rabbit IgG |
Antibody Type | Primary antibody |
Storage | Store at 4°C short term. Aliquot and store at -20°C long term. Avoid freeze/thaw cycles. |
Species Reactivity | Human,Mouse,Rat |
Immunogen | A synthetic peptide of human ASH2L |
Formulation | Purified antibody in TBS with 0.05% sodium azide,0.05%BSA and 50% glycerol. |
Application |
|
---|---|
WB | 1/500-1/1000 |
IHC | 1/50-1/100 |
IF/ICC | 1/50-1/200 |
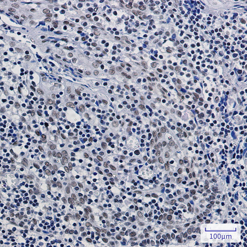
Product Image
- Western blot analysis of ASH2L in C6, 3T3, Hela lysates using ASH2L antibody.
- Immunocytochemistry analysis of ASH2L(green) in Hela using ASH2L antibody,and DAPI(blue)
- Immunohistochemistry analysis of paraffin-embedded Human tonsil using ASH2L antibody. High-pressure and temperature Sodium Citrate pH 6.0 was used for antigen retrieval.
For Reseach Only
Application Key:WB - Western Blot | IHC - Immunohistochemistry | ICC - Immunocytochemistry | FCM - Flow Cytometry | ELISA - Enzyme-linked Immunosorbent Assay | IP - Immunoprecipitation
#P21082

相关产品


