提醒成功

搜索
Rabbit Monoclonal Antibody to Artemin
-
货号:
P21078 -
别名:
Enovin; Neublastin -
应用:
WB,IP,IHC -
反应种属:
Human,Mouse,Rat -
抗体类型:
Primary antibody -
Swissprot:
Q5T4W7 -
规格:
-
数量:
-+ -
说明书:
目录价¥2180

Rabbit Monoclonal Antibody to Artemin
Description |
---|
Ligand for the GFR-alpha-3-RET receptor complex but can also activate the GFR-alpha-1-RET receptor complex. Supports the survival of sensory and sympathetic peripheral neurons in culture and also supports the survival of dopaminergic neurons of the ventral mid-brain. Strong attractant of gut hematopoietic cells thus promoting the formation Peyer's patch-like structures, a major component of the gut-associated lymphoid tissue. |
Specification |
|
---|---|
Aliases | Enovin; Neublastin |
Entrez GeneID | 9048 |
Swissprot | Q5T4W7 |
WB Predicted band size | Calculated MW: 23 kDa; Observed MW: 23 kDa |
Host/Isotype | Rabbit IgG |
Antibody Type | Primary antibody |
Storage | Store at 4°C short term. Aliquot and store at -20°C long term. Avoid freeze/thaw cycles. |
Species Reactivity | Human,Mouse,Rat |
Immunogen | A synthetic peptide of human Artemin |
Formulation | Purified antibody in TBS with 0.05% sodium azide,0.05%BSA and 50% glycerol. |
Application |
|
---|---|
WB | 1/500-1/1000 |
IP | 1/10-1/20 |
IHC | 1/50-1/100 |
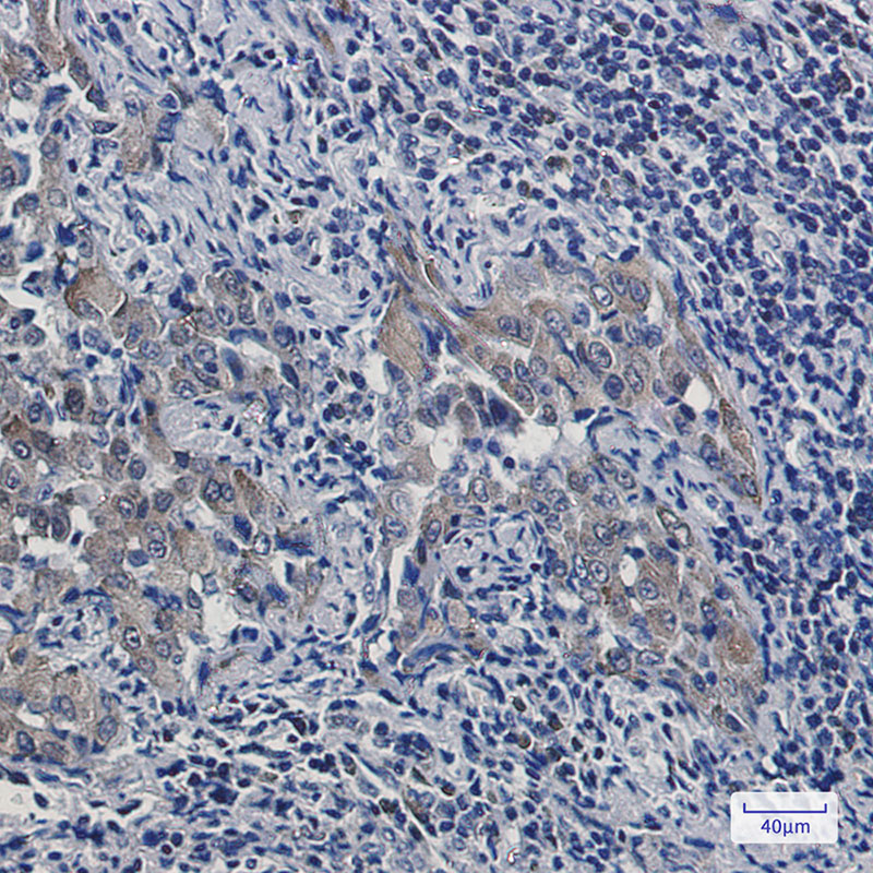
Product Image
For Reseach Only
Application Key:WB - Western Blot | IHC - Immunohistochemistry | ICC - Immunocytochemistry | FCM - Flow Cytometry | ELISA - Enzyme-linked Immunosorbent Assay | IP - Immunoprecipitation
#P21078

相关产品


