提醒成功

搜索
Rabbit Monoclonal Antibody to ARPC2
-
货号:
P21077 -
别名:
ARC34; PRO2446; p34-Arc; PNAS-139 -
应用:
WB,IP,IHC,IF -
反应种属:
Human,Mouse,Rat -
抗体类型:
Primary antibody -
Swissprot:
O15144 -
规格:
-
数量:
-+ -
说明书:
目录价¥2180

Rabbit Monoclonal Antibody to ARPC2
Description |
---|
Functions as actin-binding component of the Arp2/3 complex which is involved in regulation of actin polymerization and together with an activating nucleation-promoting factor (NPF) mediates the formation of branched actin networks. Seems to contact the mother actin filament. |
Specification |
|
---|---|
Aliases | ARC34; PRO2446; p34-Arc; PNAS-139 |
Entrez GeneID | 10109 |
Swissprot | O15144 |
WB Predicted band size | Calculated MW: 34 kDa; Observed MW: 34 kDa |
Host/Isotype | Rabbit IgG |
Antibody Type | Primary antibody |
Storage | Store at 4°C short term. Aliquot and store at -20°C long term. Avoid freeze/thaw cycles. |
Species Reactivity | Human,Mouse,Rat |
Immunogen | A synthetic peptide of human ARPC2 |
Formulation | Purified antibody in TBS with 0.05% sodium azide,0.05%BSA and 50% glycerol. |
Application |
|
---|---|
WB | 1/500-1/1000 |
IP | 1/10-1/20 |
IHC | 1/50-1/100 |
IF/ICC | 1/50-1/200 |
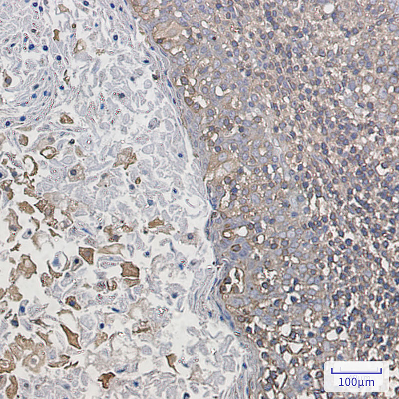
Product Image
- Western blot analysis of ARPC2 in rat Brain, C6, 3T3, Hela lysates using ARPC2 antibody.
- Immunocytochemistry analysis of ARPC2(green) in Hela using ARPC2 antibody,and DAPI(blue)
- Immunohistochemistry analysis of paraffin-embedded Human tonsil using ARPC2 antibody. High-pressure and temperature Sodium Citrate pH 6.0 was used for antigen retrieval.
For Reseach Only
Application Key:WB - Western Blot | IHC - Immunohistochemistry | ICC - Immunocytochemistry | FCM - Flow Cytometry | ELISA - Enzyme-linked Immunosorbent Assay | IP - Immunoprecipitation
#P21077

相关产品


