提醒成功

搜索
Rabbit Monoclonal Antibody to Actin Related Protein 3
-
货号:
P21076 -
别名:
ACTR3; ARP3; Actin-related protein 3; Actin-like protein 3 -
应用:
WB,IHC,IF -
反应种属:
Human,Mouse,Rat -
抗体类型:
Primary antibody -
Swissprot:
P61158 -
规格:
-
数量:
-+ -
说明书:
目录价¥2180

Rabbit Monoclonal Antibody to Actin Related Protein 3
Description |
---|
The Arp2/3 complex involved in Golgi polerization in NIH3T3 cells. In a different model it has been shown that the Arp2/3 complex is necessary for neutrophil chemotaxis and phagocytosis. |
Specification |
|
---|---|
Aliases | ACTR3; ARP3; Actin-related protein 3; Actin-like protein 3 |
Entrez GeneID | 10096 |
Swissprot | P61158 |
WB Predicted band size | Calculated MW: 47 kDa; Observed MW: 47 kDa |
Host/Isotype | Rabbit IgG |
Antibody Type | Primary antibody |
Storage | Store at 4°C short term. Aliquot and store at -20°C long term. Avoid freeze/thaw cycles. |
Species Reactivity | Human,Mouse,Rat |
Immunogen | A synthetic peptide of human Arp3 |
Formulation | Purified antibody in TBS with 0.05% sodium azide,0.05%BSA and 50% glycerol. |
Application |
|
---|---|
WB | 1/500-1/1000 |
IHC | 1/50-1/100 |
IF/ICC | 1/50-1/200 |
Product Image
- Western blot analysis of Arp3 in K562, rat Brain, C6, 3T3, Hela lysates using Arp3 antibody.
- Immunocytochemistry analysis of Arp3(green) in Hela cells using Arp3 antibody,and DAPI(blue)
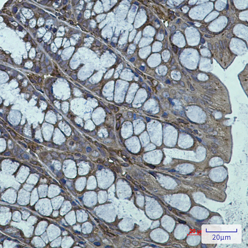
- Immunohistochemistry analysis of paraffin-embedded mouse colon using Actin Related Protein 3 antibody.High-pressure and temperature Sodium Citrate pH 6.0 was used for antigen retrieval.
For Reseach Only
Application Key:WB - Western Blot | IHC - Immunohistochemistry | ICC - Immunocytochemistry | FCM - Flow Cytometry | ELISA - Enzyme-linked Immunosorbent Assay | IP - Immunoprecipitation
#P21076

相关产品


