提醒成功

搜索
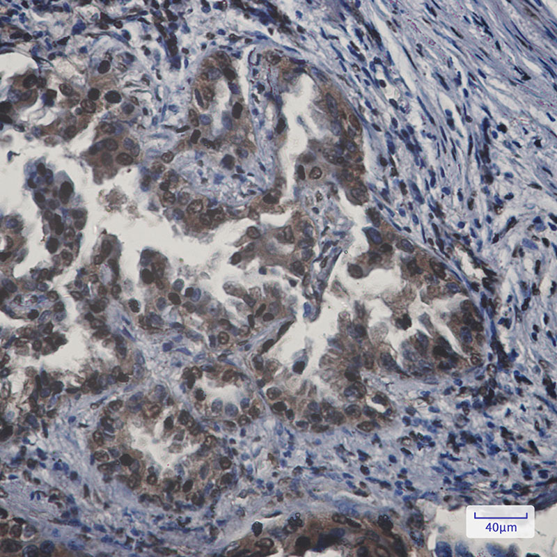
Rabbit Monoclonal Antibody to APPL
-
货号:
P21066 -
别名:
APPL1; APPL; DIP13A; KIAA1428; DCC-interacting protein 13-alpha; Dip13-alpha; Adapter protein containing PH domain; PTB domain and leucine zipper motif 1 -
应用:
WB,IHC -
反应种属:
Human,Mouse,Rat -
抗体类型:
Primary antibody -
Swissprot:
Q9UKG1 -
规格:
-
数量:
-+ -
说明书:
目录价¥2180

Rabbit Monoclonal Antibody to APPL
Description |
---|
Adapter protein that interacts with proteins involved in different cellular signaling pathways. Required for the regulation of cell proliferation in response to extracellular signals from an early endosomal compartment. Links Rab5 to nuclear signal transduction. Involved in the regulation of the insulin receptor signaling pathway. |
Specification |
|
---|---|
Aliases | APPL1; APPL; DIP13A; KIAA1428; DCC-interacting protein 13-alpha; Dip13-alpha; Adapter protein containing PH domain; PTB domain and leucine zipper motif 1 |
Entrez GeneID | 26060 |
Swissprot | Q9UKG1 |
WB Predicted band size | Calculated MW: 80 kDa; Observed MW: 80 kDa |
Host/Isotype | Rabbit IgG |
Antibody Type | Primary antibody |
Storage | Store at 4°C short term. Aliquot and store at -20°C long term. Avoid freeze/thaw cycles. |
Species Reactivity | Human,Mouse,Rat |
Immunogen | A synthetic peptide of human APPL |
Formulation | Purified antibody in TBS with 0.05% sodium azide,0.05%BSA and 50% glycerol. |
Application |
|
---|---|
WB | 1/500-1/1000 |
IHC | 1/50-1/100 |
Product Image
For Reseach Only
Application Key:WB - Western Blot | IHC - Immunohistochemistry | ICC - Immunocytochemistry | FCM - Flow Cytometry | ELISA - Enzyme-linked Immunosorbent Assay | IP - Immunoprecipitation
#P21066

相关产品


