提醒成功

搜索
Rabbit Monoclonal Antibody to APE1
-
货号:
P21060 -
别名:
APEX1; APE; APE1; APEX; APX; HAP1; REF1; DNA-(apurinic or apyrimidinic site) lyase; APEX nuclease; APEN; Apurinic-apyrimidinic endonuclease 1; AP endonuclease 1; APE-1; REF-1; Redox factor-1 -
应用:
WB,IHC,IF -
反应种属:
Human,Mouse,Rat -
抗体类型:
Primary antibody -
Swissprot:
P27695 -
规格:
-
数量:
-+ -
说明书:
目录价¥2180

Rabbit Monoclonal Antibody to APE1
Description |
---|
Ape1 initiates the repair of abasic sites and is essential for the base excision repair (BER) pathway. Repair activities of Ape1 are stimulated by interaction with XRCC1, another essential protein in BER. Ape1 functions as a redox factor that maintains transcription factors in an active, reduced state but can also function in a redox-independent manner as a transcriptional cofactor to control different cellular fates such as apoptosis, proliferation and differentiation. |
Specification |
|
---|---|
Aliases | APEX1; APE; APE1; APEX; APX; HAP1; REF1; DNA-(apurinic or apyrimidinic site) lyase; APEX nuclease; APEN; Apurinic-apyrimidinic endonuclease 1; AP endonuclease 1; APE-1; REF-1; Redox factor-1 |
Entrez GeneID | 328 |
Swissprot | P27695 |
WB Predicted band size | Calculated MW: 36 kDa; Observed MW: 36 kDa |
Host/Isotype | Rabbit IgG |
Antibody Type | Primary antibody |
Storage | Store at 4°C short term. Aliquot and store at -20°C long term. Avoid freeze/thaw cycles. |
Species Reactivity | Human,Mouse,Rat |
Immunogen | Recombinant protein of human APE1 |
Formulation | Purified antibody in TBS with 0.05% sodium azide,0.05%BSA and 50% glycerol. |
Application |
|
---|---|
WB | 1/500-1/1000 |
IHC | 1/50-1/100 |
IF/ICC | 1/50-1/200 |
Product Image
- Western blot analysis of APE1 in K562, C6, 3T3, Hela lysates using APE1 antibody.
- Immunocytochemistry analysis of APE1(green) in Hela using APE1 antibody,and DAPI(blue)
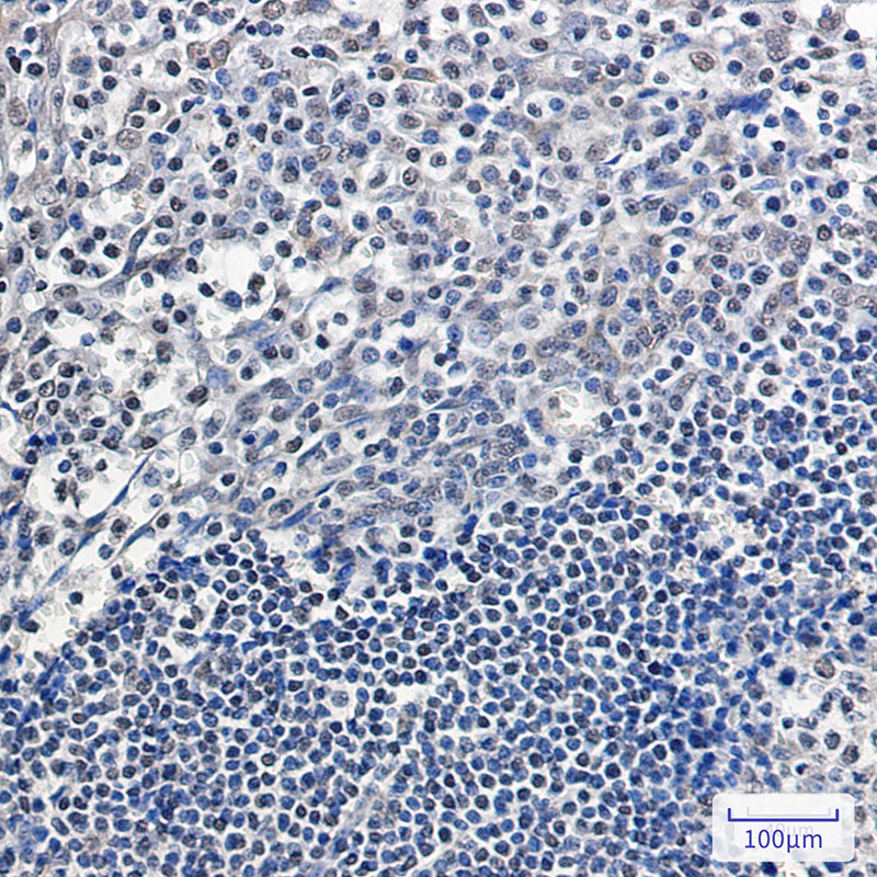
- Immunohistochemistry analysis of paraffin-embedded Human tonsil using APE1 antibody. High-pressure and temperature Sodium Citrate pH 6.0 was used for antigen retrieval.
For Reseach Only
Application Key:WB - Western Blot | IHC - Immunohistochemistry | ICC - Immunocytochemistry | FCM - Flow Cytometry | ELISA - Enzyme-linked Immunosorbent Assay | IP - Immunoprecipitation
#P21060

相关产品


