提醒成功

搜索
Rabbit Monoclonal Antibody to Annexin A1
-
货号:
P21050 -
别名:
ANXA1; ANX1; LPC1; Annexin A1; Annexin I; Annexin-1; Calpactin II; Calpactin-2; Chromobindin-9; Lipocortin I; Phospholipase A2 inhibitory protein; p35 -
应用:
WB,IP,IHC,IF -
反应种属:
Human,Mouse,Rat -
抗体类型:
Primary antibody -
Swissprot:
P04083 -
规格:
-
数量:
-+ -
说明书:
目录价¥2180

Rabbit Monoclonal Antibody to Annexin A1
Description |
---|
Plays important roles in the innate immune response as effector of glucocorticoid-mediated responses and regulator of the inflammatory process. Has anti-inflammatory activity (PubMed:8425544). Plays a role in glucocorticoid-mediated down-regulation of the early phase of the inflammatory response . Promotes resolution of inflammation and wound healing (PubMed:25664854). Functions at least in part by activating the formyl peptide receptors and downstream signaling cascades (PubMed:15187149, PubMed:25664854). Promotes chemotaxis of granulocytes and monocytes via activation of the formyl peptide receptors (PubMed:15187149). Contributes to the adaptive immune response by enhancing signaling cascades that are triggered by T-cell activation, regulates differentiation and proliferation of activated T-cells (PubMed:17008549). Promotes the differentiation of T-cells into Th1 cells and negatively regulates differentiation into Th2 cells (PubMed:17008549). Has no effect on unstimulated T cells (PubMed:17008549). Promotes rearrangement of the actin cytoskeleton, cell polarization and cell migration (PubMed:15187149). Negatively regulates hormone exocytosis via activation of the formyl peptide receptors and reorganization of the actin cytoskeleton (PubMed:19625660). Has high affinity for Ca2+ and can bind up to eight Ca2+ ions . Displays Ca2+-dependent binding to phospholipid membranes (PubMed:2532504, PubMed:8557678). Plays a role in the formation of phagocytic cups and phagosomes. Plays a role in phagocytosis by mediating the Ca2+-dependent interaction between phagosomes and the actin cytoskeleton . |
Specification |
|
---|---|
Aliases | ANXA1; ANX1; LPC1; Annexin A1; Annexin I; Annexin-1; Calpactin II; Calpactin-2; Chromobindin-9; Lipocortin I; Phospholipase A2 inhibitory protein; p35 |
Entrez GeneID | 301 |
Swissprot | P04083 |
WB Predicted band size | Calculated MW: 39 kDa; Observed MW: 39 kDa |
Host/Isotype | Rabbit IgG |
Antibody Type | Primary antibody |
Storage | Store at 4°C short term. Aliquot and store at -20°C long term. Avoid freeze/thaw cycles. |
Species Reactivity | Human,Mouse,Rat |
Immunogen | Recombinant protein of human Annexin A1 |
Formulation | Purified antibody in TBS with 0.05% sodium azide,0.05%BSA and 50% glycerol. |
Application |
|
---|---|
WB | 1/500-1/1000 |
IP | 1/10-1/20 |
IHC | 1/50-1/100 |
IF/ICC | 1/50-1/200 |
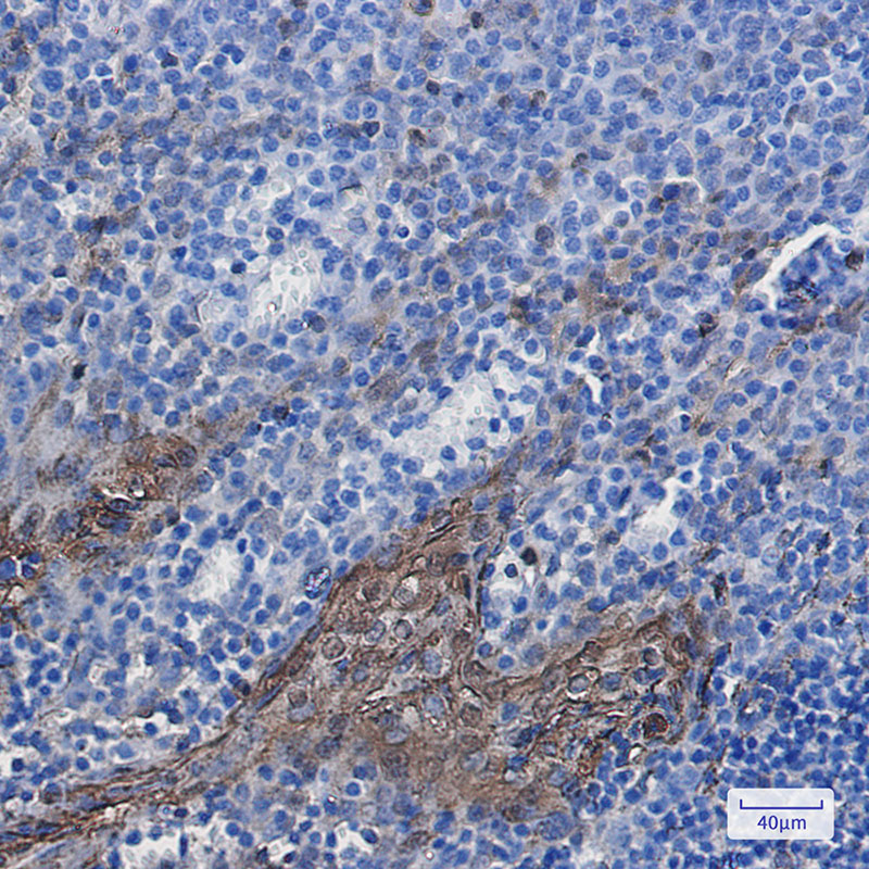
Product Image
- Western blot analysis of Annexin A1 in K562, C6, 3T3, Hela lysates using Annexin A1 antibody.
- Immunocytochemistry analysis of Annexin A1 (green) in A549 using Annexin A1 antibody,and DAPI(blue).
- Immunohistochemistry analysis of paraffin-embedded Human tonsil using Annexin A1 antibody. High-pressure and temperature Sodium Citrate pH 6.0 was used for antigen retrieval.
For Reseach Only
Application Key:WB - Western Blot | IHC - Immunohistochemistry | ICC - Immunocytochemistry | FCM - Flow Cytometry | ELISA - Enzyme-linked Immunosorbent Assay | IP - Immunoprecipitation
#P21050

相关产品


