提醒成功

搜索
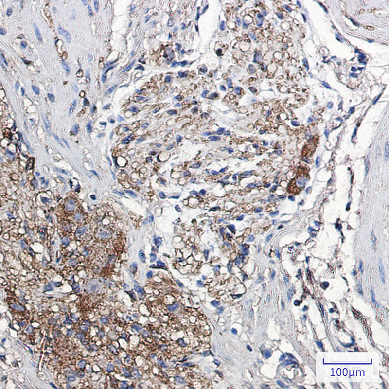
Rabbit Monoclonal Antibody to alpha Synuclein
-
货号:
P21041 -
别名:
SNCA; NACP; PARK1; Alpha-synuclein; Non-A beta component of AD amyloid; Non-A4 component of amyloid precursor; NACP -
应用:
WB,IP,IHC -
反应种属:
Human,Rat -
抗体类型:
Primary antibody -
Swissprot:
P37840 -
规格:
-
数量:
-+ -
说明书:
目录价¥2180

Rabbit Monoclonal Antibody to alpha Synuclein
Description |
---|
May be involved in the regulation of dopamine release and transport. Induces fibrillization of microtubule-associated protein tau. Reduces neuronal responsiveness to various apoptotic stimuli, leading to a decreased caspase-3 activation. Genetic alterations of SNCA resulting in aberrant polymerization into fibrils, are associated with several neurodegenerative diseases (synucleinopathies). |
Specification |
|
---|---|
Aliases | SNCA; NACP; PARK1; Alpha-synuclein; Non-A beta component of AD amyloid; Non-A4 component of amyloid precursor; NACP |
Entrez GeneID | 6622 |
Swissprot | P37840 |
WB Predicted band size | Calculated MW: 14 kDa; Observed MW: 18 kDa |
Host/Isotype | Rabbit IgG |
Antibody Type | Primary antibody |
Storage | Store at 4°C short term. Aliquot and store at -20°C long term. Avoid freeze/thaw cycles. |
Species Reactivity | Human,Rat |
Immunogen | Recombinant protein of human Alpha-synuclein |
Formulation | Purified antibody in TBS with 0.05% sodium azide,0.05%BSA and 50% glycerol. |
Application |
|
---|---|
WB | 1/500-1/1000 |
IP | 1/10-1/20 |
IHC | 1/50-1/100 |
Product Image
For Reseach Only
Application Key:WB - Western Blot | IHC - Immunohistochemistry | ICC - Immunocytochemistry | FCM - Flow Cytometry | ELISA - Enzyme-linked Immunosorbent Assay | IP - Immunoprecipitation
#P21041

相关产品


