提醒成功

搜索
Rabbit Monoclonal Antibody to Adipose Triglyceride Lipase
-
货号:
P21010 -
别名:
ATGL; Desnutrin; plpl; plpl2; Pnpla2; TTS 2.2; TTS2; TTS2.2; ZETA -
应用:
WB,IP,IHC -
反应种属:
Human,Mouse,Rat -
抗体类型:
Primary antibody -
Swissprot:
Q96AD5 -
规格:
-
数量:
-+ -
说明书:
目录价¥2180

Rabbit Monoclonal Antibody to Adipose Triglyceride Lipase
Description |
---|
Catalyzes the initial step in triglyceride hydrolysis in adipocyte and non-adipocyte lipid droplets. Also has acylglycerol transacylase activity. May act coordinately with LIPE/HLS within the lipolytic cascade. Regulates adiposome size and may be involved in the degradation of adiposomes. |
Specification |
|
---|---|
Aliases | ATGL; Desnutrin; plpl; plpl2; Pnpla2; TTS 2.2; TTS2; TTS2.2; ZETA |
Entrez GeneID | 57104 |
Swissprot | Q96AD5 |
WB Predicted band size | Calculated MW: 55 kDa; Observed MW: 55 kDa |
Host/Isotype | Rabbit IgG |
Antibody Type | Primary antibody |
Storage | Store at 4°C short term. Aliquot and store at -20°C long term. Avoid freeze/thaw cycles. |
Species Reactivity | Human,Mouse,Rat |
Immunogen | Recombinant protein of human Adipose Triglyceride Lipase |
Formulation | Purified antibody in TBS with 0.05% sodium azide,0.05%BSA and 50% glycerol. |
Application |
|
---|---|
WB | 1/500-1/1000 |
IP | 1/10-1/20 |
IHC | 1/50-1/100 |
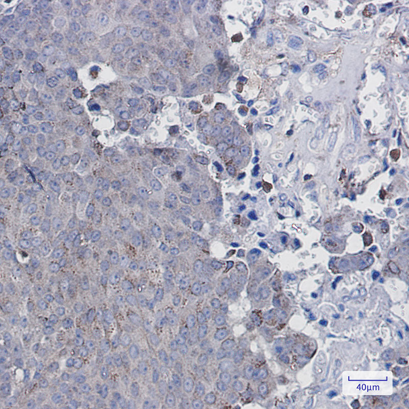
Product Image
- Western blot analysis of Adipose Triglyceride Lipase in K562, C6, 3T3, Hela lysates using Adipose Triglyceride Lipase antibody.
- Immunohistochemistry analysis of paraffin-embedded Human breast cancer using Adipose Triglyceride Lipase antibody.High-pressure and temperature Sodium Citrate pH 6.0 was used for antigen retrieval.
For Reseach Only
Application Key:WB - Western Blot | IHC - Immunohistochemistry | ICC - Immunocytochemistry | FCM - Flow Cytometry | ELISA - Enzyme-linked Immunosorbent Assay | IP - Immunoprecipitation
#P21010

相关产品


