提醒成功
搜索
Rabbit Polyclonal Antibody to SAP49
-
货号:
P43675 -
别名:
SAP49; Splicing factor 3B subunit 4; Pre-mRNA-splicing factor SF3b 49 kDa subunit; SF3b50; Spliceosome-associated protein 49; SAP 49 -
应用:
WB,IHC -
反应种属:
Human,Mouse,Rat -
抗体类型:
Primary antibody -
Swissprot:
Q15427 -
规格:
-
数量:
-+ -
说明书:
目录价¥1980
Rabbit Polyclonal Antibody to SAP49
Specification |
|
|---|---|
| Aliases | SAP49; Splicing factor 3B subunit 4; Pre-mRNA-splicing factor SF3b 49 kDa subunit; SF3b50; Spliceosome-associated protein 49; SAP 49 |
| Entrez GeneID | 10262; |
| Swissprot | Q15427 |
| WB Predicted band size | 49kDa |
| Host/Isotype | Rabbit IgG |
| Antibody Type | Primary antibody |
| Storage | Store at 4°C short term. Aliquot and store at -20°C long term. Avoid freeze/thaw cycles. |
| Species Reactivity | Human,Mouse,Rat |
| Immunogen | KLH-conjugated synthetic peptide encompassing a sequence within the center region of human SAP49. |
| Formulation | Liquid in PBS containing 50% glycerol, 0.5% BSA and 0.02% sodium azide. |
Application |
|
|---|---|
| WB | 1/500-1/1000 |
| IHC | 1/50-1/100 |
Product Image
- Western blot analysis of GPRC5A expression in MCF7, HEK293T, NIH3T3 whole cell lysates.
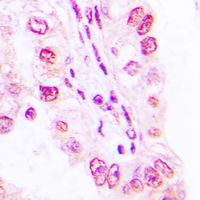
- Immunohistochemical analysis of SAP49 staining in human lung formalin fixed paraffin embedded tissue section. The section was then incubated with the antibody at room temperature and detected using an HRP conjugated compact polymer system. DAB was used as the chromogen. The section was then counterstained with haematoxylin and mounted with DPX.
For Reseach Only
Application Key:WB - Western Blot | IHC - Immunohistochemistry | ICC - Immunocytochemistry | FCM - Flow Cytometry | ELISA - Enzyme-linked Immunosorbent Assay | IP - Immunoprecipitation
#P43675
相关产品

微信/QQ登录


首页
