提醒成功

搜索
Mouse Monoclonal Antibody to TPSAB1
-
货号:
32406 -
别名:
TPS1; TPS2; TPSB1; TPSB2; Tryptase-2 -
应用:
IHC,IF,FCM -
反应种属:
Human -
抗体类型:
Primary antibody -
Swissprot:
Q15661 -
规格:
-
数量:
-+ -
说明书:
目录价¥2180

Mouse Monoclonal Antibody to TPSAB1
Description |
---|
Tryptases comprise a family of trypsin-like serine proteases, the peptidase family S1. Tryptases are enzymatically active only as heparin-stabilized tetramers, and they are resistant to all known endogenous proteinase inhibitors. Several tryptase genes are clustered on chromosome 16p13.3. These genes are characterized by several distinct features. They have a highly conserved 3' UTR and contain tandem repeat sequences at the 5' flank and 3' UTR which are thought to play a role in regulation of the mRNA stability. These genes have an intron immediately upstream of the initiator Met codon, which separates the site of transcription initiation from protein coding sequence. This feature is characteristic of tryptases but is unusual in other genes. The alleles of this gene exhibit an unusual amount of sequence variation, such that the alleles were once thought to represent two separate genes, alpha and beta 1. Beta tryptases appear to be the main isoenzymes expressed in mast cells; whereas in basophils, alpha tryptases predominate. Tryptases have been implicated as mediators in the pathogenesis of asthma and other allergic and inflammatory disorders. |
References |
---|
1.Biomaterials. 2019 Mar;197:72-85. 2.J Allergy Clin Immunol. 2021 Feb;147(2):622-632. |
Specification |
|
---|---|
Aliases | TPS1; TPS2; TPSB1; TPSB2; Tryptase-2 |
Entrez GeneID | 7177 |
Swissprot | Q15661 |
clone | 1B2E6 |
WB Predicted band size | 30.5kDa |
Host/Isotype | Mouse IgG1 |
Antibody Type | Primary antibody |
Storage | Store at 4°C short term. Aliquot and store at -20°C long term. Avoid freeze/thaw cycles. |
Species Reactivity | Human |
Immunogen | Purified recombinant fragment of human TPSAB1 (AA: 31-275) expressed in E. Coli. |
Formulation | Purified antibody in PBS with 0.05% sodium azide |
Application |
|
---|---|
IHC | 1/200 - 1/1000 |
IF/ICC | 1/200 - 1/1000 |
FCM | 1/200 - 1/400 |
ELISA | 1/10000 |
Product Image
- Black line: Control Antigen (100 ng);Purple line: Antigen (10ng); Blue line: Antigen (50 ng); Red line:Antigen (100 ng)
- Immunofluorescence analysis of Hela cells using TPSAB1 mouse mAb (green). Blue: DRAQ5 fluorescent DNA dye. Red: Actin filaments have been labeled with Alexa Fluor- 555 phalloidin. Secondary antibody from Fisher (Cat#: 35503)
- Flow cytometric analysis of HepG2 cells using TPSAB1 mouse mAb (green) and negative control (red).
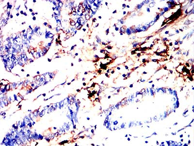
- Immunohistochemical analysis of paraffin-embedded human lung cancer tissues using TPSAB1 mouse mAb with DAB staining.
- Immunohistochemical analysis of paraffin-embedded human cervical cancer tissues using TPSAB1 mouse mAb with DAB staining.
- Immunohistochemical analysis of paraffin-embedded human colon cancer tissues using TPSAB1 mouse mAb with DAB staining.
- Immunohistochemical analysis of paraffin-embedded human esophageal tissue tissues using TPSAB1 mouse mAb with DAB staining.
For Reseach Only
Application Key:WB - Western Blot | IHC - Immunohistochemistry | ICC - Immunocytochemistry | FCM - Flow Cytometry | ELISA - Enzyme-linked Immunosorbent Assay | IP - Immunoprecipitation
#32406

相关产品


