提醒成功
搜索
Rabbit Polyclonal Antibody to MRPL51
-
货号:
P43669 -
别名:
MRP64; 39S ribosomal protein L51, mitochondrial; L51mt; MRP-L51; bMRP-64; bMRP64 -
应用:
WB,IHC -
反应种属:
Human,Mouse -
抗体类型:
Primary antibody -
Swissprot:
Q4U2R6 -
规格:
-
数量:
-+ -
说明书:
目录价¥1980
Rabbit Polyclonal Antibody to MRPL51
Specification |
|
|---|---|
| Aliases | MRP64; 39S ribosomal protein L51, mitochondrial; L51mt; MRP-L51; bMRP-64; bMRP64 |
| Entrez GeneID | 51258; |
| Swissprot | Q4U2R6 |
| WB Predicted band size | 20kDa |
| Host/Isotype | Rabbit IgG |
| Antibody Type | Primary antibody |
| Storage | Store at 4°C short term. Aliquot and store at -20°C long term. Avoid freeze/thaw cycles. |
| Species Reactivity | Human,Mouse |
| Immunogen | KLH-conjugated synthetic peptide encompassing a sequence within the center region of human MRPL51. |
| Formulation | Liquid in PBS containing 50% glycerol, 0.5% BSA and 0.02% sodium azide. |
Application |
|
|---|---|
| WB | 1/500-1/1000 |
| IHC | 1/50-1/100 |
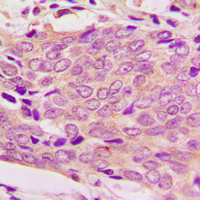
Product Image
- Western blot analysis of ABHD7 expression in HEK293T, HepG2 whole cell lysates.
- Immunohistochemical analysis of MRPL51 staining in human breast cancer formalin fixed paraffin embedded tissue section. The section was then incubated with the antibody at room temperature and detected using an HRP conjugated compact polymer system. DAB was used as the chromogen. The section was then counterstained with haematoxylin and mounted with DPX.
For Reseach Only
Application Key:WB - Western Blot | IHC - Immunohistochemistry | ICC - Immunocytochemistry | FCM - Flow Cytometry | ELISA - Enzyme-linked Immunosorbent Assay | IP - Immunoprecipitation
#P43669
相关产品

微信/QQ登录


首页
