提醒成功
搜索
Rabbit Polyclonal Antibody to IFN-α/βRα
-
货号:
P43538 -
别名:
Interferon alpha/beta receptor 1 (IFN-R-1) (IFN-alpha/beta receptor 1) (Cytokine receptor class-II member 1) (Cytokine receptor family 2 member 1) (CRF2-1) (Type I interferon receptor 1) -
应用:
IHC -
反应种属:
Human -
抗体类型:
Primary antibody -
Swissprot:
P17181 -
规格:
-
数量:
-+ -
说明书:
目录价¥1980
Rabbit Polyclonal Antibody to IFN-α/βRα
Specification |
|
|---|---|
| Aliases | Interferon alpha/beta receptor 1 (IFN-R-1) (IFN-alpha/beta receptor 1) (Cytokine receptor class-II member 1) (Cytokine receptor family 2 member 1) (CRF2-1) (Type I interferon receptor 1) |
| Entrez GeneID | 3454; |
| Swissprot | P17181 |
| Host/Isotype | Rabbit IgG |
| Antibody Type | Primary antibody |
| Storage | Store at 4°C short term. Aliquot and store at -20°C long term. Avoid freeze/thaw cycles. |
| Species Reactivity | Human |
| Immunogen | Synthetic peptide from human protein at AA range: 300-350 |
| Formulation | Liquid in PBS containing 50% glycerol, 0.5% BSA and 0.02% sodium azide. |
Application |
|
|---|---|
| IHC | 1/50-300 |
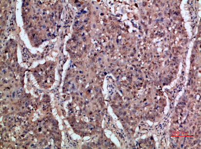
Product Image
For Reseach Only
Application Key:WB - Western Blot | IHC - Immunohistochemistry | ICC - Immunocytochemistry | FCM - Flow Cytometry | ELISA - Enzyme-linked Immunosorbent Assay | IP - Immunoprecipitation
#P43538
相关产品

微信/QQ登录


首页
