提醒成功
搜索
Rabbit Polyclonal Antibody to THRA/THRB
-
货号:
P43525 -
别名:
AR7; EAR7; ERBA; CHNG6; ERBA1; NR1A1; THRA1; THRA2; ERB-T-1; c-ERBA-1; GRTH; PRTH; THR1; ERBA2; NR1A2; THRB1; THRB2; C-ERBA-2; C-ERBA-BETA -
应用:
IHC -
反应种属:
Human,Mouse,Rat -
抗体类型:
Primary antibody -
Swissprot:
P10827 -
规格:
-
数量:
-+ -
说明书:
目录价¥1980
Rabbit Polyclonal Antibody to THRA/THRB
Description |
|---|
The protein encoded by this gene is a nuclear hormone receptor for triiodothyronine. It is one of the several receptors for thyroid hormone, and has been shown to mediate the biological activities of thyroid hormone. Knockout studies in mice suggest that the different receptors, while having certain extent of redundancy, may mediate different functions of thyroid hormone. Alternatively spliced transcript variants encoding distinct isoforms have been reported. |
Specification |
|
|---|---|
| Aliases | AR7; EAR7; ERBA; CHNG6; ERBA1; NR1A1; THRA1; THRA2; ERB-T-1; c-ERBA-1; GRTH; PRTH; THR1; ERBA2; NR1A2; THRB1; THRB2; C-ERBA-2; C-ERBA-BETA |
| Entrez GeneID | 7067; |
| Swissprot | P10827 |
| Host/Isotype | Rabbit IgG |
| Antibody Type | Primary antibody |
| Storage | Store at 4°C short term. Aliquot and store at -20°C long term. Avoid freeze/thaw cycles. |
| Species Reactivity | Human,Mouse,Rat |
| Immunogen | Synthetic peptide corresponding to internal residues of human THRA,THRB |
| Formulation | Liquid in PBS containing 50% glycerol, 0.5% BSA and 0.02% sodium azide. |
Application |
|
|---|---|
| IHC | 1/ 20-100 |
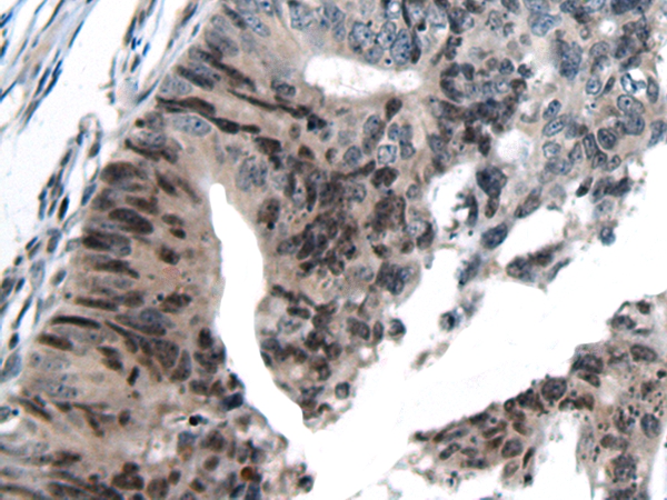
Product Image
- The image on the left is immunohistochemistry of paraffin-embedded Human liver cancer tissue using 46684(THRA/THRB Antibody) at dilution 1/20, on the right is treated with synthetic peptide. (Original magnification: x200)
- The image on the left is immunohistochemistry of paraffin-embedded Human colorectal cancer tissue using 46684(THRA/THRB Antibody) at dilution 1/20, on the right is treated with synthetic peptide. (Original magnification: x200)
For Reseach Only
Application Key:WB - Western Blot | IHC - Immunohistochemistry | ICC - Immunocytochemistry | FCM - Flow Cytometry | ELISA - Enzyme-linked Immunosorbent Assay | IP - Immunoprecipitation
#P43525
相关产品

微信/QQ登录


首页
