提醒成功
搜索
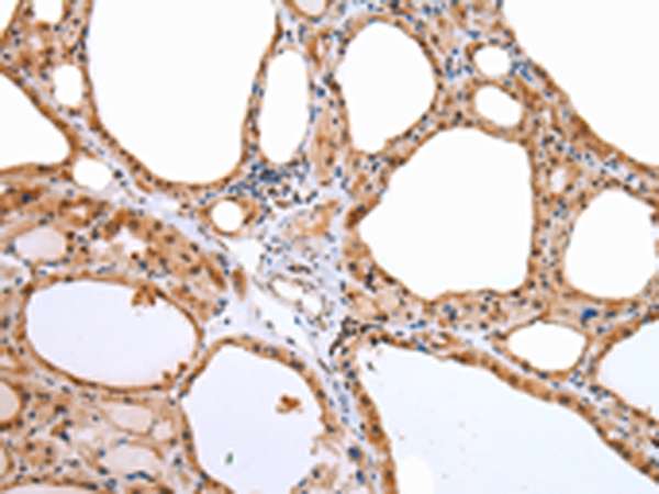
Rabbit Polyclonal Antibody to AQP9
-
货号:
P43451 -
别名:
SSC1; AQP-9; HsT17287 -
应用:
WB,IHC -
反应种属:
Human -
抗体类型:
Primary antibody -
Swissprot:
O43315 -
规格:
-
数量:
-+ -
说明书:
目录价¥1980
Rabbit Polyclonal Antibody to AQP9
Description |
|---|
The aquaporins are a family of water-selective membrane channels. The protein encoded by this gene allows passage of a wide variety of noncharged solutes. It stimulates urea transport and osmotic water permeability; there are contradicting reports about its role in providing glycerol permeability. The encoded protein may also play a role in specialized leukocyte functions such as immunological response and bactericidal activity. |
Specification |
|
|---|---|
| Aliases | SSC1; AQP-9; HsT17287 |
| Entrez GeneID | 366; |
| Swissprot | O43315 |
| WB Predicted band size | 31kDa |
| Host/Isotype | Rabbit IgG |
| Antibody Type | Primary antibody |
| Storage | Store at 4°C short term. Aliquot and store at -20°C long term. Avoid freeze/thaw cycles. |
| Species Reactivity | Human |
| Immunogen | Synthetic peptide of human AQP9 |
| Formulation | Liquid in PBS containing 50% glycerol, 0.5% BSA and 0.02% sodium azide. |
Application |
|
|---|---|
| WB | 1/200-1/1000 |
| IHC | 1/25-1/100 |
Product Image
For Reseach Only
Application Key:WB - Western Blot | IHC - Immunohistochemistry | ICC - Immunocytochemistry | FCM - Flow Cytometry | ELISA - Enzyme-linked Immunosorbent Assay | IP - Immunoprecipitation
#P43451
相关产品

微信/QQ登录


首页
