提醒成功
搜索
Rabbit Polyclonal Antibody to SRF
-
货号:
P42875 -
别名:
MCM1 -
应用:
WB,IHC -
反应种属:
Human -
抗体类型:
Primary antibody -
Swissprot:
P11831 -
规格:
-
数量:
-+ -
说明书:
目录价¥1980
Rabbit Polyclonal Antibody to SRF
Description |
|---|
This gene encodes a ubiquitous nuclear protein that stimulates both cell proliferation and differentiation. It is a member of the MADS (MCM1, Agamous, Deficiens, and SRF) box superfamily of transcription factors. This protein binds to the serum response element (SRE) in the promoter region of target genes. This protein regulates the activity of many immediate-early genes, for example c-fos, and thereby participates in cell cycle regulation, apoptosis, cell growth, and cell differentiation. This gene is the downstream target of many pathways; for example, the mitogen-activated protein kinase pathway (MAPK) that acts through the ternary complex factors (TCFs). |
Specification |
|
|---|---|
| Aliases | MCM1 |
| Entrez GeneID | 6722; |
| Swissprot | P11831 |
| WB Predicted band size | 52kDa |
| Host/Isotype | Rabbit IgG |
| Antibody Type | Primary antibody |
| Storage | Store at 4°C short term. Aliquot and store at -20°C long term. Avoid freeze/thaw cycles. |
| Species Reactivity | Human |
| Immunogen | Synthetic peptide corresponding to residues near the C terminal of human serum response factor (c-fos serum response element-binding transcription factor) |
| Formulation | Liquid in PBS containing 50% glycerol, 0.5% BSA and 0.02% sodium azide. |
Application |
|
|---|---|
| WB | 1/200-1/1000 |
| IHC | 1/50-1/200 |
Product Image
- Gel: 10%SDS-PAGE Lysates (from left to right): HT-29 and Jurkat cell Amount of lysate: 50ug per lane Primary antibody: 1/400 dilution Secondary antibody dilution: 1/8000 Exposure time: 1 minute
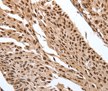
- Immunohistochemical analysis of paraffin-embedded Human cervical cancer tissue using P42875 at dilution 1/30.
For Reseach Only
Application Key:WB - Western Blot | IHC - Immunohistochemistry | ICC - Immunocytochemistry | FCM - Flow Cytometry | ELISA - Enzyme-linked Immunosorbent Assay | IP - Immunoprecipitation
#P42875
相关产品

微信/QQ登录


首页
