提醒成功
搜索
Rabbit Polyclonal Antibody to GRM8
-
货号:
P42858 -
别名:
GLUR8; mGlu8; GPRC1H; MGLUR8 -
应用:
WB,IHC -
反应种属:
Human,Mouse,Rat -
抗体类型:
Primary antibody -
Swissprot:
O00222 -
规格:
-
数量:
-+ -
说明书:
目录价¥1980
Rabbit Polyclonal Antibody to GRM8
Description |
|---|
L-glutamate is the major excitatory neurotransmitter in the central nervous system and activates both ionotropic and metabotropic glutamate receptors. Glutamatergic neurotransmission is involved in most aspects of normal brain function and can be perturbed in many neuropathologic conditions. The metabotropic glutamate receptors are a family of G protein-coupled receptors, that have been divided into 3 groups on the basis of sequence homology, putative signal transduction mechanisms, and pharmacologic properties. Group I includes GRM1 and GRM5 and these receptors have been shown to activate phospholipase C. Group II includes GRM2 and GRM3 while Group III includes GRM4, GRM6, GRM7 and GRM8. Group II and III receptors are linked to the inhibition of the cyclic AMP cascade but differ in their agonist selectivities. Alternatively spliced transcript variants encoding different isoforms have been described for this gene. |
Specification |
|
|---|---|
| Aliases | GLUR8; mGlu8; GPRC1H; MGLUR8 |
| Entrez GeneID | 2918; |
| Swissprot | O00222 |
| WB Predicted band size | 56kDa |
| Host/Isotype | Rabbit IgG |
| Antibody Type | Primary antibody |
| Storage | Store at 4°C short term. Aliquot and store at -20°C long term. Avoid freeze/thaw cycles. |
| Species Reactivity | Human,Mouse,Rat |
| Immunogen | Synthetic peptide corresponding to a region derived from internal residues of human glutamate receptor, metabotropic 8 |
| Formulation | Liquid in PBS containing 50% glycerol, 0.5% BSA and 0.02% sodium azide. |
Application |
|
|---|---|
| WB | 1/500-1/2000 |
| IHC | 1/50-1/200 |
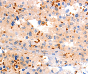
Product Image
- Gel: 8%SDS-PAGE Lysates (from left to right): Mouse brain tissue Amount of lysate: 40ug per lane Primary antibody: 1/1200 dilution Secondary antibody dilution: 1/8000 Exposure time: 5 minutes
- Immunohistochemical analysis of paraffin-embedded Human ovarain cancer tissue using P42858 at dilution 1/120.
For Reseach Only
Application Key:WB - Western Blot | IHC - Immunohistochemistry | ICC - Immunocytochemistry | FCM - Flow Cytometry | ELISA - Enzyme-linked Immunosorbent Assay | IP - Immunoprecipitation
#P42858
相关产品

微信/QQ登录


首页
