提醒成功

搜索
Mouse Monoclonal Antibody to CD157
-
货号:
32321 -
别名:
BST1 -
应用:
WB,IHC,FCM -
反应种属:
Human, Mouse, Rat -
抗体类型:
Primary antibody -
Swissprot:
Q10588 -
规格:
-
数量:
-+ -
说明书:
目录价¥2180

Mouse Monoclonal Antibody to CD157
Description |
---|
Bone marrow stromal cell antigen-1 is a stromal cell line-derived glycosylphosphatidylinositol-anchored molecule that facilitates pre-B-cell growth. The deduced amino acid sequence exhibits 33% similarity with CD38. BST1 expression is enhanced in bone marrow stromal cell lines derived from patients with rheumatoid arthritis. The polyclonal B-cell abnormalities in rheumatoid arthritis may be, at least in part, attributed to BST1 overexpression in the stromal cell population. |
References |
---|
1.Cytometry B Clin Cytom. 2020 Mar;98(2):193-202. 2.Sci Rep. 2017 Nov 21;7(1):15923. |
Specification |
|
---|---|
Aliases | BST1 |
Entrez GeneID | 683 |
Swissprot | Q10588 |
clone | 1A4G4 |
WB Predicted band size | 35.7kDa |
Host/Isotype | Mouse IgG2b |
Antibody Type | Primary antibody |
Storage | Store at 4°C short term. Aliquot and store at -20°C long term. Avoid freeze/thaw cycles. |
Species Reactivity | Human, Mouse, Rat |
Immunogen | Purified recombinant fragment of human CD157 (AA: 82-293) expressed in E. Coli. |
Formulation | Purified antibody in PBS with 0.05% sodium azide |
Application |
|
---|---|
WB | 1/500 - 1/2000 |
IHC | 1/200 - 1/1000 |
FCM | 1/200 - 1/400 |
ELISA | 1/10000 |
Product Image
- Black line: Control Antigen (100 ng);Purple line: Antigen (10ng); Blue line: Antigen (50 ng); Red line:Antigen (100 ng)
- Western blot analysis using CD157 mouse mAb against Rat spleen (1) and Mouse spleen (2) cell lysate.
- Flow cytometric analysis of HL-6O cells using CD157 mouse mAb (green) and negative control (red).
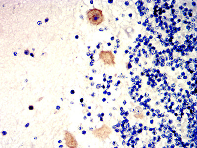
- Immunohistochemical analysis of paraffin-embedded human brain tissues using CD157 mouse mAb with DAB staining.
- Immunohistochemical analysis of paraffin-embedded human cerebellum tissues using CD157 mouse mAb with DAB staining.
For Reseach Only
Application Key:WB - Western Blot | IHC - Immunohistochemistry | ICC - Immunocytochemistry | FCM - Flow Cytometry | ELISA - Enzyme-linked Immunosorbent Assay | IP - Immunoprecipitation
#32321

相关产品


