提醒成功
搜索
Rabbit Polyclonal Antibody to ANXA7
-
货号:
P42746 -
别名:
SNX; ANX7; SYNEXIN -
应用:
IHC -
反应种属:
Human -
抗体类型:
Primary antibody -
Swissprot:
P20073 -
规格:
-
数量:
-+ -
说明书:
目录价¥1980
Rabbit Polyclonal Antibody to ANXA7
Description |
|---|
Annexin VII is a member of the annexin family of calcium-dependent phospholipid binding proteins.The Annexin VII gene contains 14 exons and spans approximately 34 kb of DNA. An alternatively spliced cassette exon results in two mRNA transcripts of 2.0 and 2.4 kb which are predicted to generate two protein isoforms differing in their N-terminal domain. The alternative splicing event is tissue specific and the mRNA containing the cassette exon is prevalent in brain, heart and skeletal muscle. The transcripts also differ in their 3'-non coding regions by the use of two alternative poly(A) signals. Annexin VII encodes a protein with a molecular weight of approximately 51 kDa with a unique, highly hydrophobic N-terminal domain of 167 amino acids and a conserved C-terminal region of 299 amino acids. The latter domain is composed of alternating hydrophobic and hydrophilic segments. Structural analysis of the protein suggests that Annexin VII is a membrane binding protein with diverse properties, including voltage-sensitive calcium channel activity, ion selectivity and membrane fusion. |
Specification |
|
|---|---|
| Aliases | SNX; ANX7; SYNEXIN |
| Entrez GeneID | 310; |
| Swissprot | P20073 |
| Host/Isotype | Rabbit IgG |
| Antibody Type | Primary antibody |
| Storage | Store at 4°C short term. Aliquot and store at -20°C long term. Avoid freeze/thaw cycles. |
| Species Reactivity | Human |
| Immunogen | Fusion protein corresponding to a region derived from internal residues of human Annexin A7 |
| Formulation | Liquid in PBS containing 50% glycerol, 0.5% BSA and 0.02% sodium azide. |
Application |
|
|---|---|
| IHC | 1/50-1/200 |
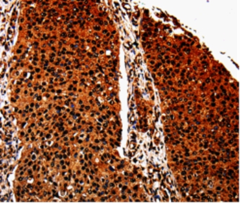
Product Image
For Reseach Only
Application Key:WB - Western Blot | IHC - Immunohistochemistry | ICC - Immunocytochemistry | FCM - Flow Cytometry | ELISA - Enzyme-linked Immunosorbent Assay | IP - Immunoprecipitation
#P42746
相关产品

微信/QQ登录


首页
