提醒成功

搜索
Mouse Monoclonal Antibody to HSP70
-
货号:
32244 -
别名:
RY; APG-2; HSPH2; hsp70; hsp70RY; HEL-S-5a; HS24/P52 -
应用:
WB,IHC,IF,FCM -
反应种属:
Human, Monkey -
抗体类型:
Primary antibody -
Swissprot:
P34932 -
规格:
-
数量:
-+ -
说明书:
目录价¥2180

Mouse Monoclonal Antibody to HSP70
Description |
---|
HSPA4 (Heat Shock Protein Family A (Hsp70) Member 4) is a Protein Coding gene. Diseases associated with HSPA4 include Vulvovaginitis and Babesiosis. Among its related pathways are Cellular response to heat stress and Mechanisms of CFTR activation by S-nitrosoglutathione (normal and CF). An important paralog of this gene is HSPA4L. |
References |
---|
1.J Biol Chem.2020 Jun 12;295(24):8302-8324. 2.Biol Chem.2020 Oct 25;401(11):1233-1248. |
Specification |
|
---|---|
Aliases | RY; APG-2; HSPH2; hsp70; hsp70RY; HEL-S-5a; HS24/P52 |
Entrez GeneID | 3308 |
Swissprot | P34932 |
clone | 2E4F10B11 |
WB Predicted band size | 94.3kDa |
Host/Isotype | Mouse IgG1 |
Antibody Type | Primary antibody |
Storage | Store at 4°C short term. Aliquot and store at -20°C long term. Avoid freeze/thaw cycles. |
Species Reactivity | Human, Monkey |
Immunogen | Purified recombinant fragment of human HSP70 (AA: 642-841) expressed in mammalian. |
Formulation | Purified antibody in PBS with 0.05% sodium azide |
Application |
|
---|---|
WB | 1/500 - 1/2000 |
IHC | 1/200 - 1/1000 |
IF/ICC | 1/200 - 1/1000 |
FCM | 1/200 - 1/400 |
ELISA | 1/10000 |
Product Image
- Black line: Control Antigen (100 ng);Purple line: Antigen (10ng); Blue line: Antigen (50 ng); Red line:Antigen (100 ng)
- Western blot analysis using HSP70 mouse mAb against Hela (1), HepG2 (2),Hek293 (3),COS-7 (4),A549 (5) and Jurkat (6) cell lysate.
- Immunofluorescence analysis of Hela cells using HSP70 mouse mAb (green). Blue: DRAQ5 fluorescent DNA dye. Red: Actin filaments have been labeled with Alexa Fluor- 555 phalloidin. Secondary antibody from Fisher (Cat#: 35503)
- Flow cytometric analysis of Jurkat cells using HSP70 mouse mAb (green) and negative control (red).
- Flow cytometric analysis of K562 cells using HSP70 mouse mAb (green) and negative control (red).
- Flow cytometric analysis of Raji cells using HSP70 mouse mAb (green) and negative control (red).
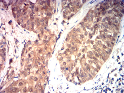
- Immunohistochemical analysis of paraffin-embedded human bladder cancer tissues using HSP70 mouse mAb with DAB staining.
- Immunohistochemical analysis of paraffin-embedded human rectal cancer tissues using HSP70 mouse mAb with DAB staining.
For Reseach Only
Application Key:WB - Western Blot | IHC - Immunohistochemistry | ICC - Immunocytochemistry | FCM - Flow Cytometry | ELISA - Enzyme-linked Immunosorbent Assay | IP - Immunoprecipitation
#32244

相关产品


