提醒成功

搜索
Mouse Monoclonal Antibody to KITLG
-
货号:
32239 -
别名:
SF; MGF; SCF; SLF; DCUA; FPH2; FPHH; KL-1; Kitl; SHEP7; DFNA69 -
应用:
IHC,IF,FCM -
反应种属:
Human -
抗体类型:
Primary antibody -
Swissprot:
P21583 -
规格:
-
数量:
-+ -
说明书:
目录价¥2180

Mouse Monoclonal Antibody to KITLG
Description |
---|
This gene encodes the ligand of the tyrosine-kinase receptor encoded by the KIT locus. This ligand is a pleiotropic factor that acts in utero in germ cell and neural cell development, and hematopoiesis, all believed to reflect a role in cell migration. In adults, it functions pleiotropically, while mostly noted for its continued requirement in hematopoiesis. Two transcript variants encoding different isoforms have been found for this gene. [provided by RefSeq, Jul 2008] |
References |
---|
1,Stem Cell Res Ther. 2020 Jul 31;11(1):329. 2,Thorac Cancer. 2020 Jul;11(7):1944-1954. |
Specification |
|
---|---|
Aliases | SF; MGF; SCF; SLF; DCUA; FPH2; FPHH; KL-1; Kitl; SHEP7; DFNA69 |
Entrez GeneID | 4254 |
Swissprot | P21583 |
clone | 2E1F9G6 |
WB Predicted band size | 30.9kDa |
Host/Isotype | Mouse IgG2b |
Antibody Type | Primary antibody |
Storage | Store at 4°C short term. Aliquot and store at -20°C long term. Avoid freeze/thaw cycles. |
Species Reactivity | Human |
Immunogen | Purified recombinant fragment of human KITLG (AA:Extra(26-214)) expressed in Mammalian. |
Formulation | Purified antibody in PBS with 0.05% sodium azide |
Application |
|
---|---|
IHC | 1/200 - 1/1000 |
IF/ICC | 1/200 - 1/1000 |
FCM | 1/200 - 1/400 |
ELISA | 1/10000 |
Product Image
- Black line: Control Antigen (100 ng);Purple line: Antigen (10ng); Blue line: Antigen (50 ng); Red line:Antigen (100 ng)
- Immunofluorescence analysis of Hela cells using KITLG mouse mAb (green). Blue: DRAQ5 fluorescent DNA dye. Red: Actin filaments have been labeled with Alexa Fluor- 555 phalloidin. Secondary antibody from Fisher (Cat#: 35503)
- Flow cytometric analysis of Hela cells using KITLG mouse mAb (green) and negative control (red).
- Flow cytometric analysis of Jurkat cells using KITLG mouse mAb (green) and negative control (red).
- Flow cytometric analysis of Raji cells using KITLG mouse mAb (green) and negative control (red).
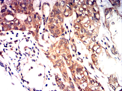
- Immunohistochemical analysis of paraffin-embedded human Bladder cancer tissues using KITLG mouse mAb with DAB staining.
For Reseach Only
Application Key:WB - Western Blot | IHC - Immunohistochemistry | ICC - Immunocytochemistry | FCM - Flow Cytometry | ELISA - Enzyme-linked Immunosorbent Assay | IP - Immunoprecipitation
#32239

相关产品


