提醒成功
搜索
Rabbit Polyclonal Antibody to GAD1/2
-
货号:
P41802 -
别名:
Glutamate decarboxylase 2; EC 4.1.1.15; Glutamate decarboxylase 65 kDa isoform; GAD-65; 65 kDa glutamic acid decarboxylase -
应用:
WB,IHC -
反应种属:
Human,Mouse -
抗体类型:
Primary antibody -
Swissprot:
Q4G154 -
规格:
-
数量:
-+ -
说明书:
目录价¥1980
Rabbit Polyclonal Antibody to GAD1/2
Description |
|---|
This gene encodes one of several forms of glutamic acid decarboxylase, identified as a major autoantigen in insulin-dependent diabetes. The enzyme encoded is responsible for catalyzing the production of gamma-aminobutyric acid from L-glutamic acid. A pathogenic role for this enzyme has been identified in the human pancreas since it has been identified as an autoantigen and an autoreactive T cell target in insulin-dependent diabetes. This gene may also play a role in the stiff man syndrome. Deficiency in this enzyme has been shown to lead to pyridoxine dependency with seizures. Alternative splicing of this gene results in two products, the predominant 67-kD form and a less-frequent 25-kD form.JB Travers, Chem Senses, Feb 2007; 32: 129 - 137.Rita Sulahian, Nucleic Acids Res., Mar 2006; 34: 1351 - 1357.Andrea Pillai, Development, Jan 2007; 134: 357 - 366.Dmytro P. Yevtushenko, J. Exp. Bot., Aug 2003; 54: 2001 - 2002. |
Specification |
|
|---|---|
| Aliases | Glutamate decarboxylase 2; EC 4.1.1.15; Glutamate decarboxylase 65 kDa isoform; GAD-65; 65 kDa glutamic acid decarboxylase |
| Entrez GeneID | 2571;2572; |
| Swissprot | Q4G154 |
| WB Predicted band size | 65kDa |
| Host/Isotype | Rabbit IgG |
| Antibody Type | Primary antibody |
| Storage | Store at 4°C short term. Aliquot and store at -20°C long term. Avoid freeze/thaw cycles. |
| Species Reactivity | Human,Mouse |
| Immunogen | Synthesized peptide derived from human GAD1/GAD2. |
| Formulation | Liquid in PBS containing 50% glycerol, 0.5% BSA and 0.02% sodium azide. |
Application |
|
|---|---|
| WB | 1/500-1/3000 |
| IHC | 1/50-1/100 |
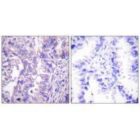
Product Image
For Reseach Only
Application Key:WB - Western Blot | IHC - Immunohistochemistry | ICC - Immunocytochemistry | FCM - Flow Cytometry | ELISA - Enzyme-linked Immunosorbent Assay | IP - Immunoprecipitation
#P41802
相关产品

微信/QQ登录


首页
