提醒成功

搜索
Mouse Monoclonal Antibody to RABEP2
-
货号:
32216 -
别名:
FRA -
应用:
IHC,FCM -
反应种属:
Human -
抗体类型:
Primary antibody -
Swissprot:
Q9H5N1 -
规格:
-
数量:
-+ -
说明书:
目录价¥2180

Mouse Monoclonal Antibody to RABEP2
Description |
---|
This gene encodes a Rabaptin, RAB GTPase Binding Effector Protein 2. The encoded protein Plays a role in membrane trafficking and in homotypic early endosome fusion. Participates in arteriogenesis by regulating vascular endothelial growth factor receptor 2/VEGFR2 cell surface expression and endosomal trafficking . By interacting with SDCCAG8, localizes to centrosomes and plays a critical role in ciliogenesis |
References |
---|
1.Sci Rep. 2017 Dec 15;7(1):17682. 2.Mol Cell Proteomics. 2019 Feb;18(2):352-371. |
Specification |
|
---|---|
Aliases | FRA |
Entrez GeneID | 79874 |
Swissprot | Q9H5N1 |
clone | 2B1B6 |
WB Predicted band size | 63.5kDa |
Host/Isotype | Mouse IgG1 |
Antibody Type | Primary antibody |
Storage | Store at 4°C short term. Aliquot and store at -20°C long term. Avoid freeze/thaw cycles. |
Species Reactivity | Human |
Immunogen | Purified recombinant fragment of human RABEP2 (AA: 10-200) expressed in HEK293-6e cells supernatant. |
Formulation | Purified antibody in PBS with 0.05% sodium azide |
Application |
|
---|---|
IHC | 1/200 - 1/1000 |
FCM | 1/200 - 1/400 |
ELISA | 1/10000 |
Product Image
- Black line: Control Antigen (100 ng);Purple line: Antigen (10ng); Blue line: Antigen (50 ng); Red line:Antigen (100 ng)
- Flow cytometric analysis of Hela cells using RABEP2 mouse mAb (green) and negative control (red).
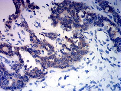
- Immunohistochemical analysis of paraffin-embedded human bladder cancer tissues using RABEP2 mouse mAb with DAB staining.
- Immunohistochemical analysis of paraffin-embedded human ovarian cancer tissues using RABEP2 mouse mAb with DAB staining.
For Reseach Only
Application Key:WB - Western Blot | IHC - Immunohistochemistry | ICC - Immunocytochemistry | FCM - Flow Cytometry | ELISA - Enzyme-linked Immunosorbent Assay | IP - Immunoprecipitation
#32216

相关产品


