提醒成功

搜索
Mouse Monoclonal Antibody to FPR3
-
货号:
32207 -
别名:
FMLPY; FPRH1; FPRH2; FPRL2; RMLP-R-I; FMLP-R-II; FML2_HUMAN -
应用:
IHC,FCM -
反应种属:
Human -
抗体类型:
Primary antibody -
Swissprot:
P25089 -
规格:
-
数量:
-+ -
说明书:
目录价¥2180

Mouse Monoclonal Antibody to FPR3
Description |
---|
FPR3 (Formyl Peptide Receptor 3) is a Protein Coding gene. Diseases associated with FPR3 include Rubeosis Iridis. Among its related pathways are Signaling by GPCR and Peptide ligand-binding receptors. Gene Ontology (GO) annotations related to this gene include G protein-coupled receptor activity and N-formyl peptide receptor activity. An important paralog of this gene is FPR2. |
References |
---|
1.Mamm Genome. 2011 Oct;22(9-10):621-33. 2.Biochem Biophys Res Commun. 2007 Aug 10;359(4):985-90. |
Specification |
|
---|---|
Aliases | FMLPY; FPRH1; FPRH2; FPRL2; RMLP-R-I; FMLP-R-II; FML2_HUMAN |
Entrez GeneID | 2359 |
Swissprot | P25089 |
clone | 8A6G12 |
WB Predicted band size | 39.9kDa |
Host/Isotype | Mouse IgG1 |
Antibody Type | Primary antibody |
Storage | Store at 4°C short term. Aliquot and store at -20°C long term. Avoid freeze/thaw cycles. |
Species Reactivity | Human |
Immunogen | Purified recombinant fragment of human FPR3 expressed in E. Coli. |
Formulation | Purified antibody in PBS with 0.05% sodium azide |
Application |
|
---|---|
IHC | 1/200 - 1/1000 |
FCM | 1/200 - 1/400 |
ELISA | 1/10000 |
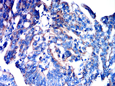
Product Image
- Black line: Control Antigen (100 ng);Purple line: Antigen (10ng); Blue line: Antigen (50 ng); Red line:Antigen (100 ng)
- Flow cytometric analysis of THP-1 cells using FPR3 mouse mAb (green) and negative control (red).
- Immunohistochemical analysis of paraffin-embedded human cervical cancer tissues using FPR3 mouse mAb with DAB staining.
- Immunohistochemical analysis of paraffin-embedded human rectum cancer tissues using FPR3 mouse mAb with DAB staining.
For Reseach Only
Application Key:WB - Western Blot | IHC - Immunohistochemistry | ICC - Immunocytochemistry | FCM - Flow Cytometry | ELISA - Enzyme-linked Immunosorbent Assay | IP - Immunoprecipitation
#32207

相关产品


