提醒成功

搜索
Rabbit Polyclonal Antibody to syk(Ab-323)
-
货号:
P41564 -
别名:
Spleen tyrosine kinase -
应用:
WB,IHC,IF -
反应种属:
Human -
抗体类型:
Primary antibody -
Swissprot:
P43405 -
规格:
-
数量:
-+ -
说明书:
目录价¥1980

Rabbit Polyclonal Antibody to syk(Ab-323)
Description |
---|
Positive effector of BCR-stimulated responses. Couples the B-cell antigen receptor (BCR) to the mobilization of calcium ion either through a phosphoinositide 3-kinase-dependent pathway, when not phosphorylated on tyrosines of the linker region, or through a phospholipase C-gamma-dependent pathway, when phosphorylated on Tyr-348 and Tyr-352. Thus the differential phosphorylation of Syk can determine the pathway by which BCR is coupled to the regulation of intracellular calcium ion |
References |
---|
Zhang, J. et al. (2000) J. Biol. Chem. 275, 35442-35447.Turner, M. et al. (2000) Immunol. Today 21, 148-154.Decker, M. et al. (1998) J. Biol. Chem. 273, 8867-8874.Law, C.L. et al. (1996) Mol. Cell. Biol. 16, 1305-1315. |
Specification |
|
---|---|
Aliases | Spleen tyrosine kinase |
Entrez GeneID | 6850; |
Swissprot | P43405 |
WB Predicted band size | 72kDa |
Host/Isotype | Rabbit IgG |
Antibody Type | Primary antibody |
Storage | Store at 4°C short term. Aliquot and store at -20°C long term. Avoid freeze/thaw cycles. |
Species Reactivity | Human |
Immunogen | Peptide sequence around aa. 321~325 (N-P-Y-E-P) derived from Human syk. |
Formulation | Purified antibody in PBS with 0.05% sodium azide. |
Application |
|
---|---|
WB | 1/500-1/1000 |
IHC | 1/50-1/100 |
IF/ICC | 1/100-1/200 |
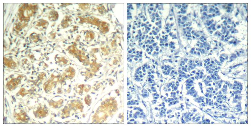
Product Image
- Western blot analysis of extracts from JK cells using syk(Ab-323) Antibody P41564.
- Immunofluorescence staining of methanol-fixed Hela cells using syk(Ab-323) Antibody P41564.
- Immunohistochemical analysis of paraffin-embedded human breast carcinoma tissue using syk(Ab-323) Antibody P41564(left) or the same antibody preincubated with blocking peptide(right).
For Reseach Only
Application Key:WB - Western Blot | IHC - Immunohistochemistry | ICC - Immunocytochemistry | FCM - Flow Cytometry | ELISA - Enzyme-linked Immunosorbent Assay | IP - Immunoprecipitation
#P41564

相关产品


