提醒成功

搜索
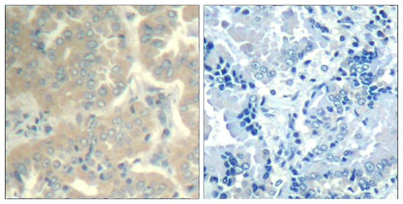
Rabbit Polyclonal Antibody to FAK(Ab-576/577)
-
货号:
P41563 -
别名:
FADK 1; FAK1; PTK2 -
应用:
WB,IHC -
反应种属:
Human,Mouse,Rat -
抗体类型:
Primary antibody -
Swissprot:
Q05397 -
规格:
-
数量:
-+ -
说明书:
目录价¥1980

Rabbit Polyclonal Antibody to FAK(Ab-576/577)
Description |
---|
Non-receptor protein-tyrosine kinase implicated in signaling pathways involved in cell motility, proliferation and apoptosis. Activated by tyrosine-phosphorylation in response to either integrin clustering induced by cell adhesion or antibody cross-linking, or via G-protein coupled receptor (GPCR) occupancy by ligands such as bombesin or lysophosphatidic acid, or via LDL receptor occupancy. Plays a potential role in oncogenic transformations resulting in increased kinase activity. |
References |
---|
Parsons, J.T. et al. (2000) Oncogene 19, 5606-5613.Schaller, M.D. et al. (1994) Mol. Cell. Biol. 14, 1680-1688.Chen, H.C. et al. (1996) J. Biol. Chem. 271, 26329-26334.Calalb, M.B. et al. (1995) Mol. Cell. Biol. 15, 954-963. |
Specification |
|
---|---|
Aliases | FADK 1; FAK1; PTK2 |
Entrez GeneID | 5747; |
Swissprot | Q05397 |
WB Predicted band size | 125kDa |
Host/Isotype | Rabbit IgG |
Antibody Type | Primary antibody |
Storage | Store at 4°C short term. Aliquot and store at -20°C long term. Avoid freeze/thaw cycles. |
Species Reactivity | Human,Mouse,Rat |
Immunogen | Peptide sequence around aa.574~578/575~579 (T-Y-Y-K-A) derived from Human FAK. |
Formulation | Purified antibody in PBS with 0.05% sodium azide. |
Application |
|
---|---|
WB | 1/500-1/1000 |
IHC | 1/50-1/100 |
Product Image
For Reseach Only
Application Key:WB - Western Blot | IHC - Immunohistochemistry | ICC - Immunocytochemistry | FCM - Flow Cytometry | ELISA - Enzyme-linked Immunosorbent Assay | IP - Immunoprecipitation
#P41563

相关产品


