提醒成功

搜索
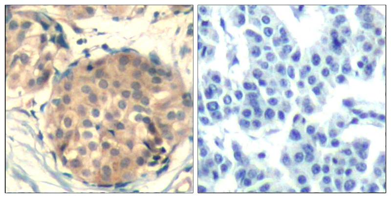
Rabbit Polyclonal Antibody to c-kit(Ab-936)
-
货号:
P41558 -
别名:
KIT; CD117; SCFR; PBT; -
应用:
WB,IHC -
反应种属:
Human -
抗体类型:
Primary antibody -
Swissprot:
P10721 -
规格:
-
数量:
-+ -
说明书:
目录价¥1980

Rabbit Polyclonal Antibody to c-kit(Ab-936)
Description |
---|
This is the receptor for stem cell factor (mast cell growth factor). It has a tyrosine-protein kinase activity. Binding of the ligands leads to the autophosphorylation of KIT and its association with substrates such as phosphatidylinositol 3-kinase (Pi3K) |
References |
---|
Martin, F.H. et al. (1990) Cell 63, 203-11.Blume-Jensen, P. et al. (2000) Nat Genet 24, 157-62.Gommerman, J.L. et al. (1997) J Biol Chem 272, 30519-25.Nocka, K. et al. (1990) EMBO J 9, 1805-13. |
Specification |
|
---|---|
Aliases | KIT; CD117; SCFR; PBT; |
Entrez GeneID | 3815; |
Swissprot | P10721 |
WB Predicted band size | 145kDa |
Host/Isotype | Rabbit IgG |
Antibody Type | Primary antibody |
Storage | Store at 4°C short term. Aliquot and store at -20°C long term. Avoid freeze/thaw cycles. |
Species Reactivity | Human |
Immunogen | Peptide sequence around aa.934~938 (H-I-Y-S-N) derived from Human c-Kit. |
Formulation | Purified antibody in PBS with 0.05% sodium azide. |
Application |
|
---|---|
WB | 1/500-1/1000 |
IHC | 1/50-1/100 |
Product Image
For Reseach Only
Application Key:WB - Western Blot | IHC - Immunohistochemistry | ICC - Immunocytochemistry | FCM - Flow Cytometry | ELISA - Enzyme-linked Immunosorbent Assay | IP - Immunoprecipitation
#P41558

相关产品


